Telefoon
+31 (0) 23 543 42 5031.10.2024
| Quote over het gebruik van Venus Pearl Pure Shades: |
| Een gelijkmatige, symmetrische en veel mooiere glimlach. Patiënt is zeer tevreden. Bereikt met één enkele tint composiet. |
| CLINISCHE CASUS |
Initiële situatie: Esthetische reconstructie van scheve tanden in het boven- en onderfront gewenst.
Digitale mock-up van de boventanden.
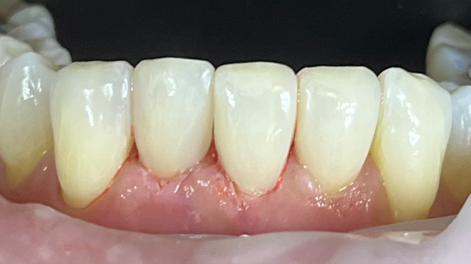
Onderfront na uitlijning.
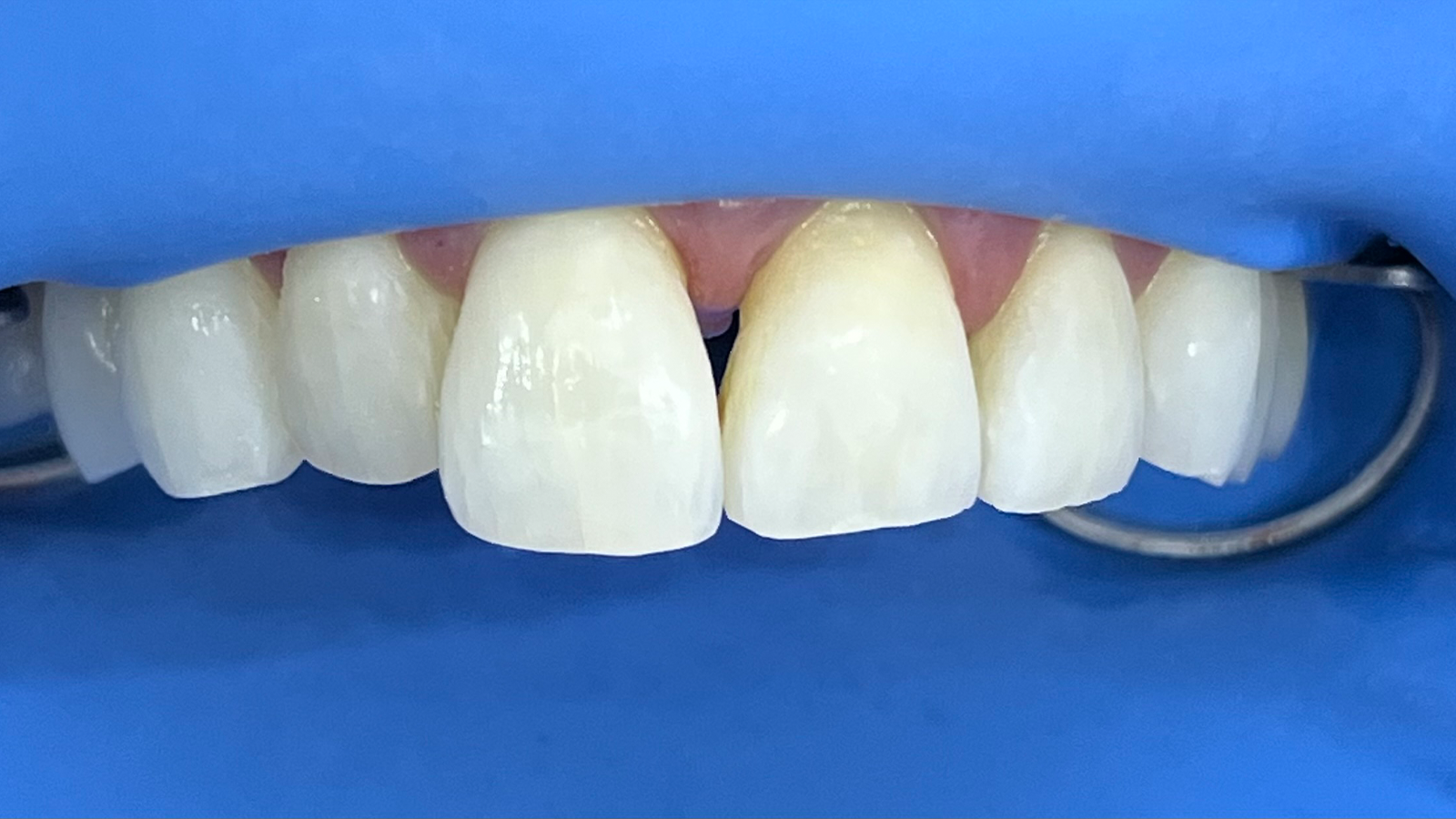
Situatie na uitlijning en bleken.
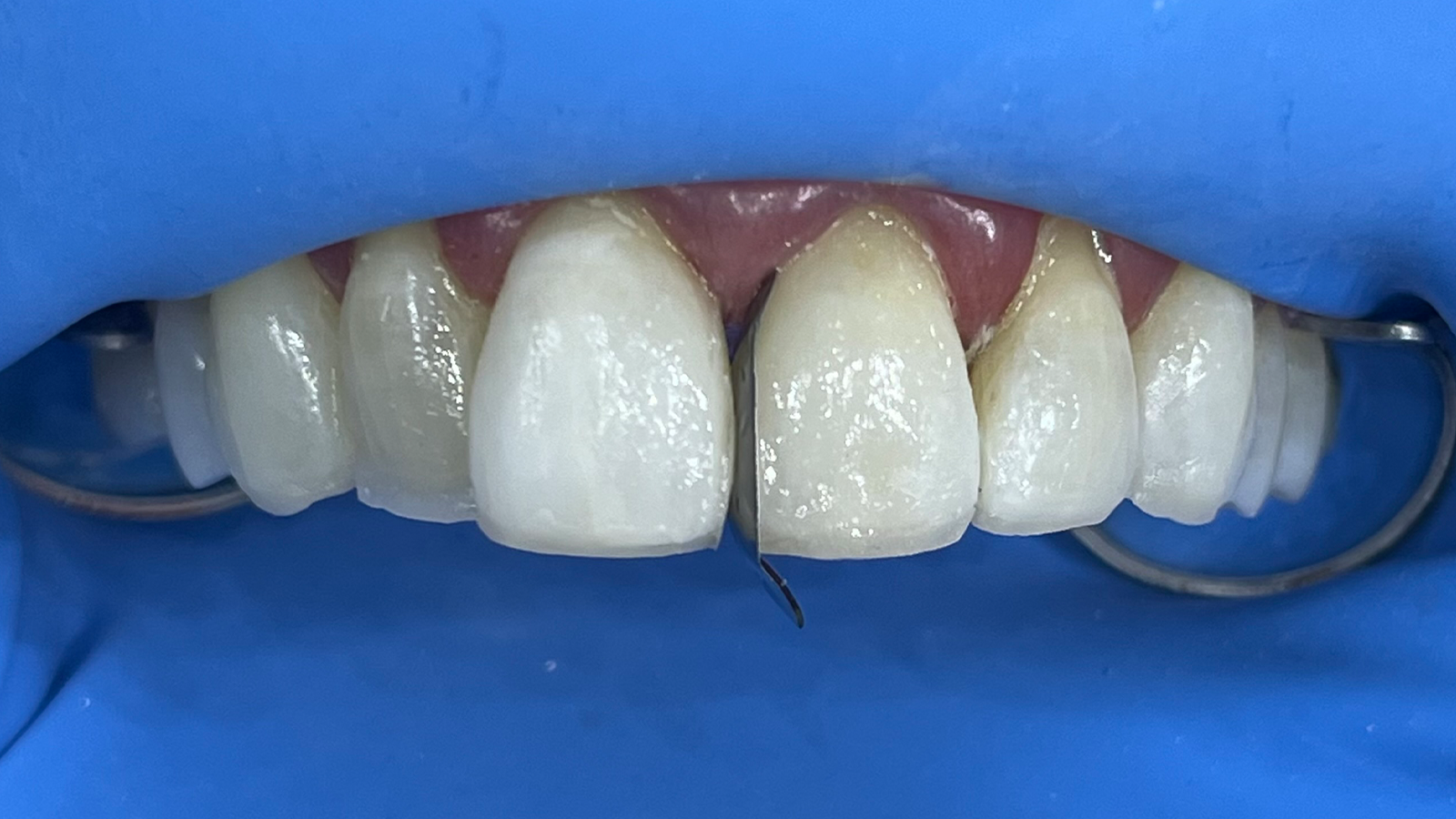
Tand-voor-tand reconstructie met composiet.
Eindresultaat van het onderfront.
Rubberdamisolatie van het bovenfront.
Tand-voor-tand reconstructie
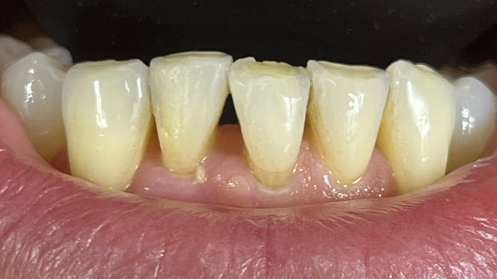
Eindresultaat: Esthetische reconstructie van het boven- en onderfront na voorbehandeling met uitlijning en bleken.
Gebruikte producten
Ontdek de Kulzer-producten die in deze casus worden gebruikt en volg de links voor meer informatie:
Instructions for use:
Gelieve ook de relevante Gebruiksaanwijzing (IFU) te raadplegen bij het gebruik van medische apparaten: Ga naar IFU portaal