Landen
Contact
Nieuwsbrief
Shop_BE
Shop_NL
Kulzer Benelux

NL

Be part of it
Case of the month

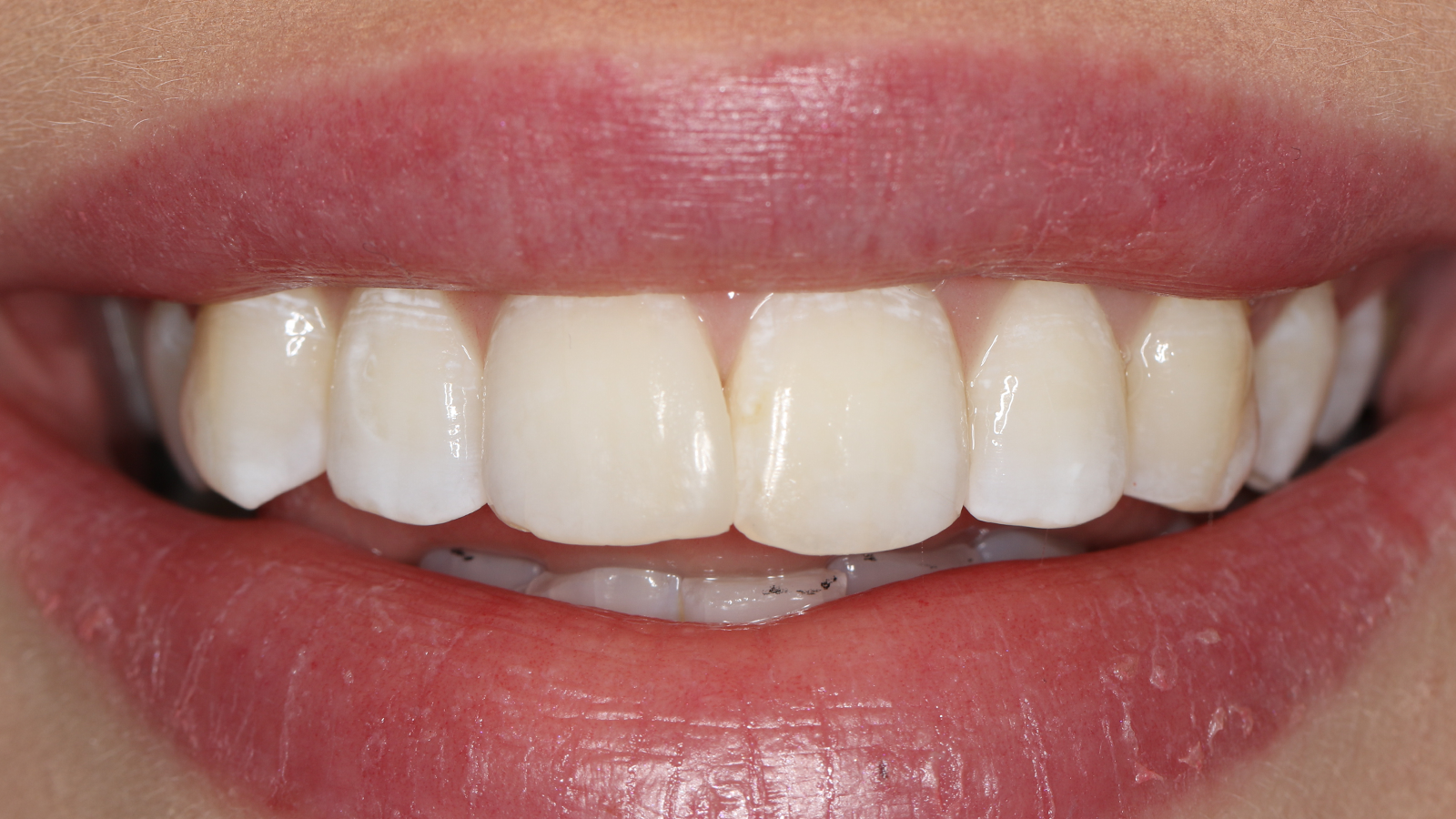
Nog een fascinerende casus met de nieuwe Venus Diamond Flow Pure Shades

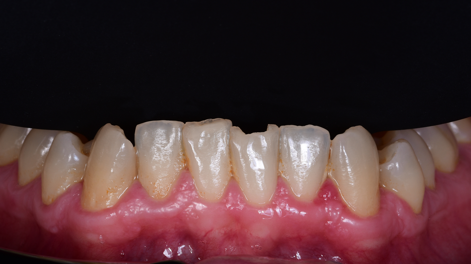
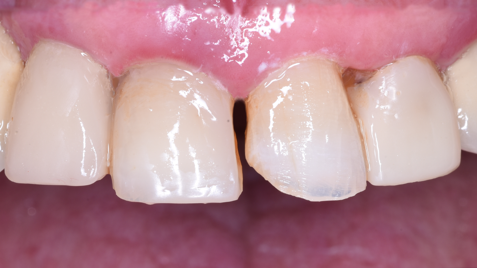
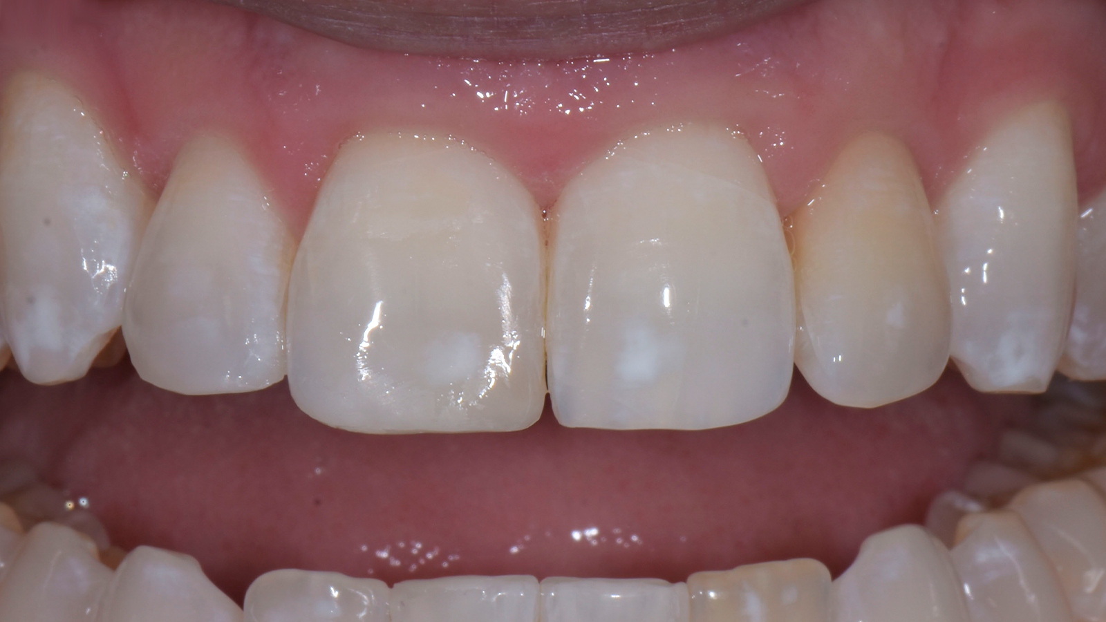
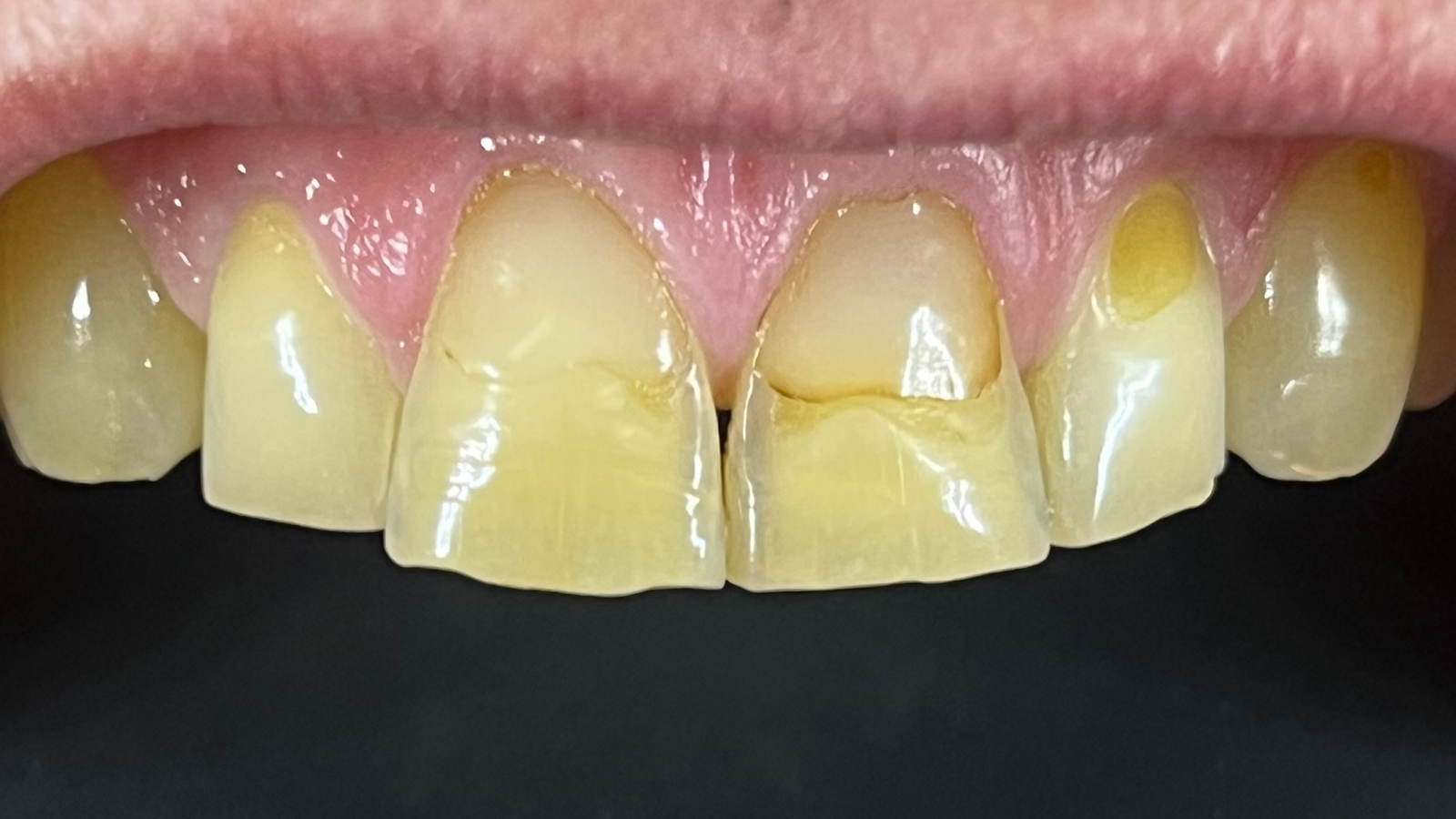
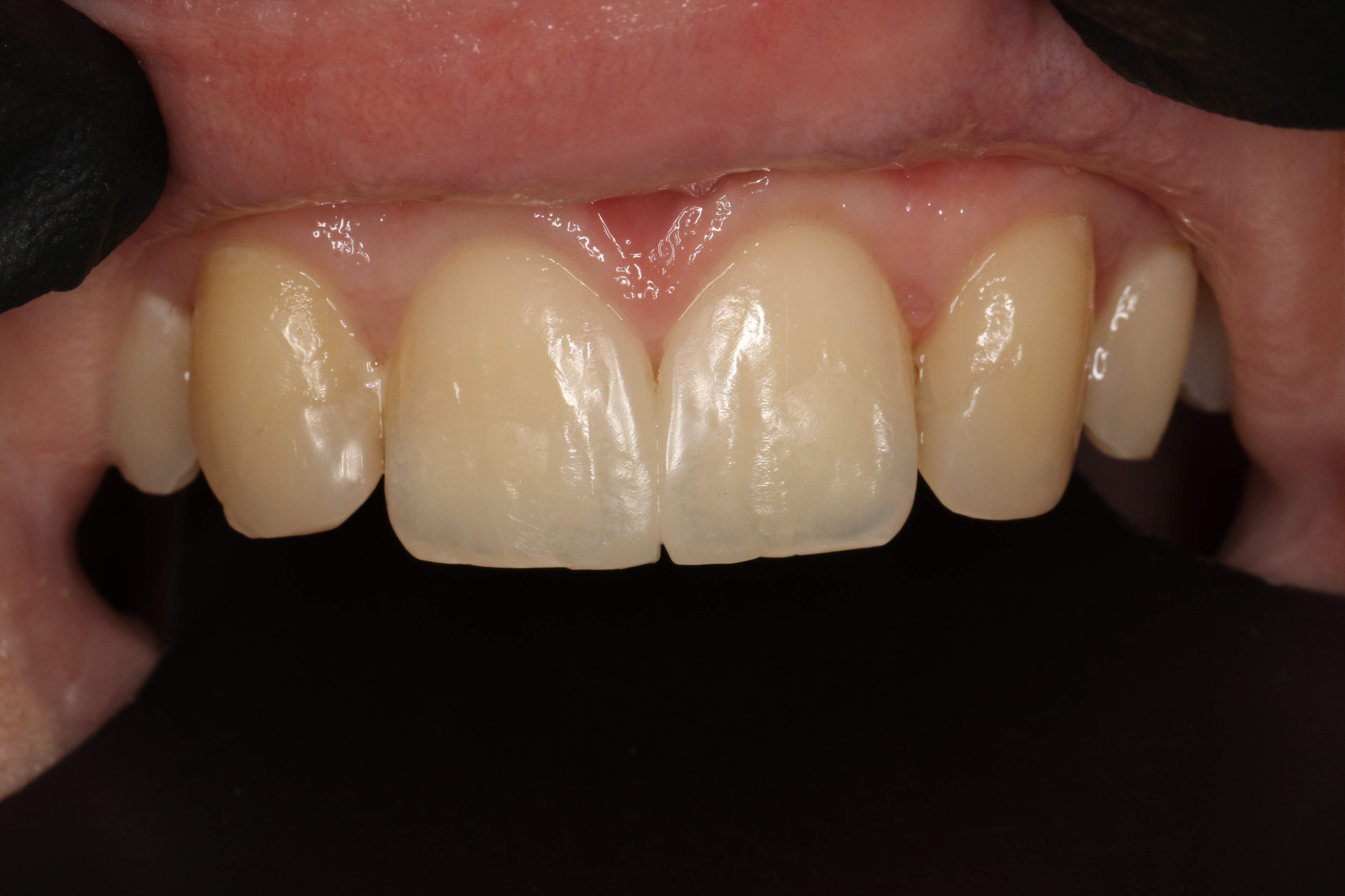
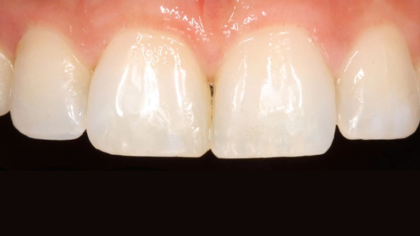
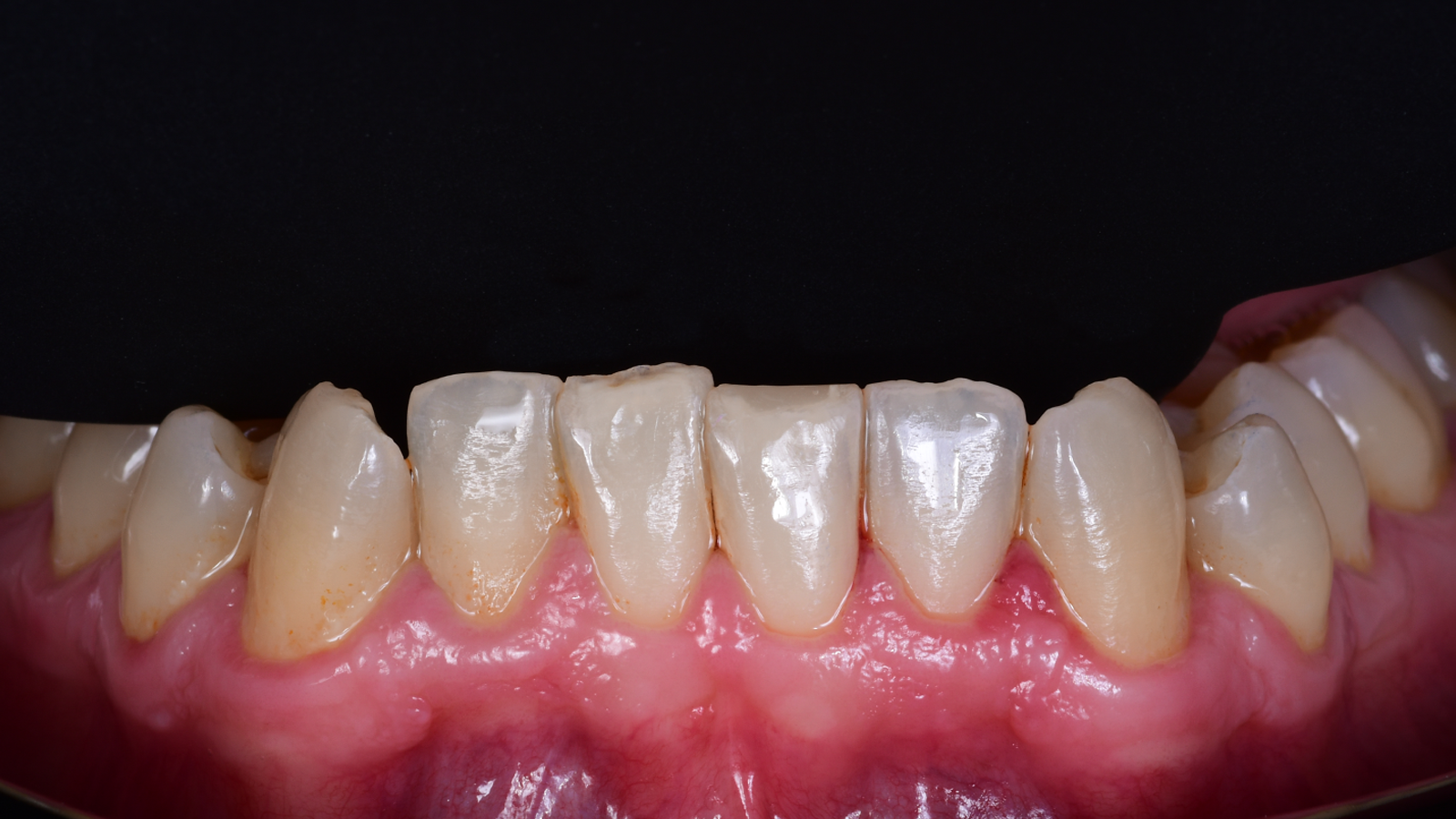
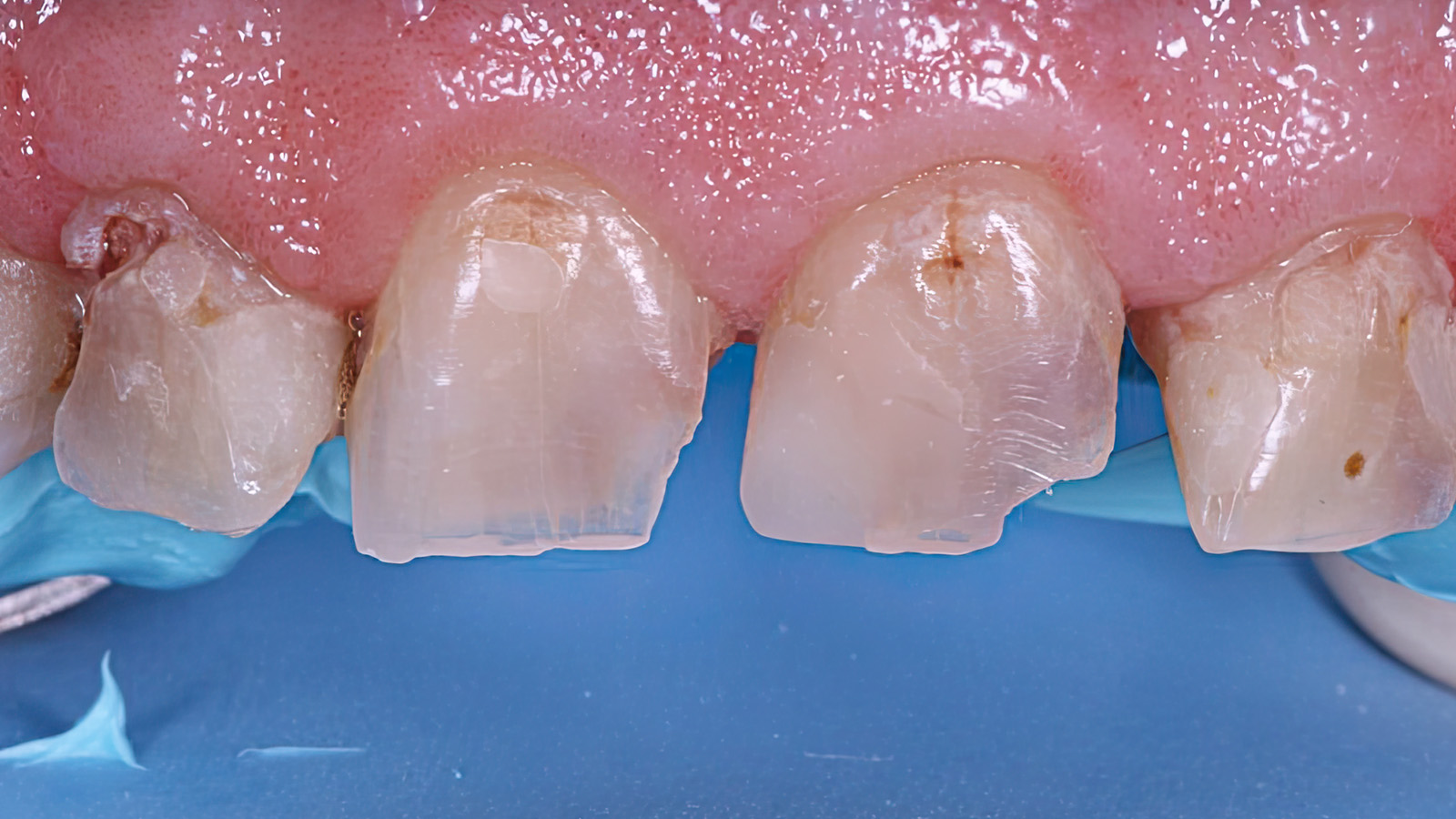
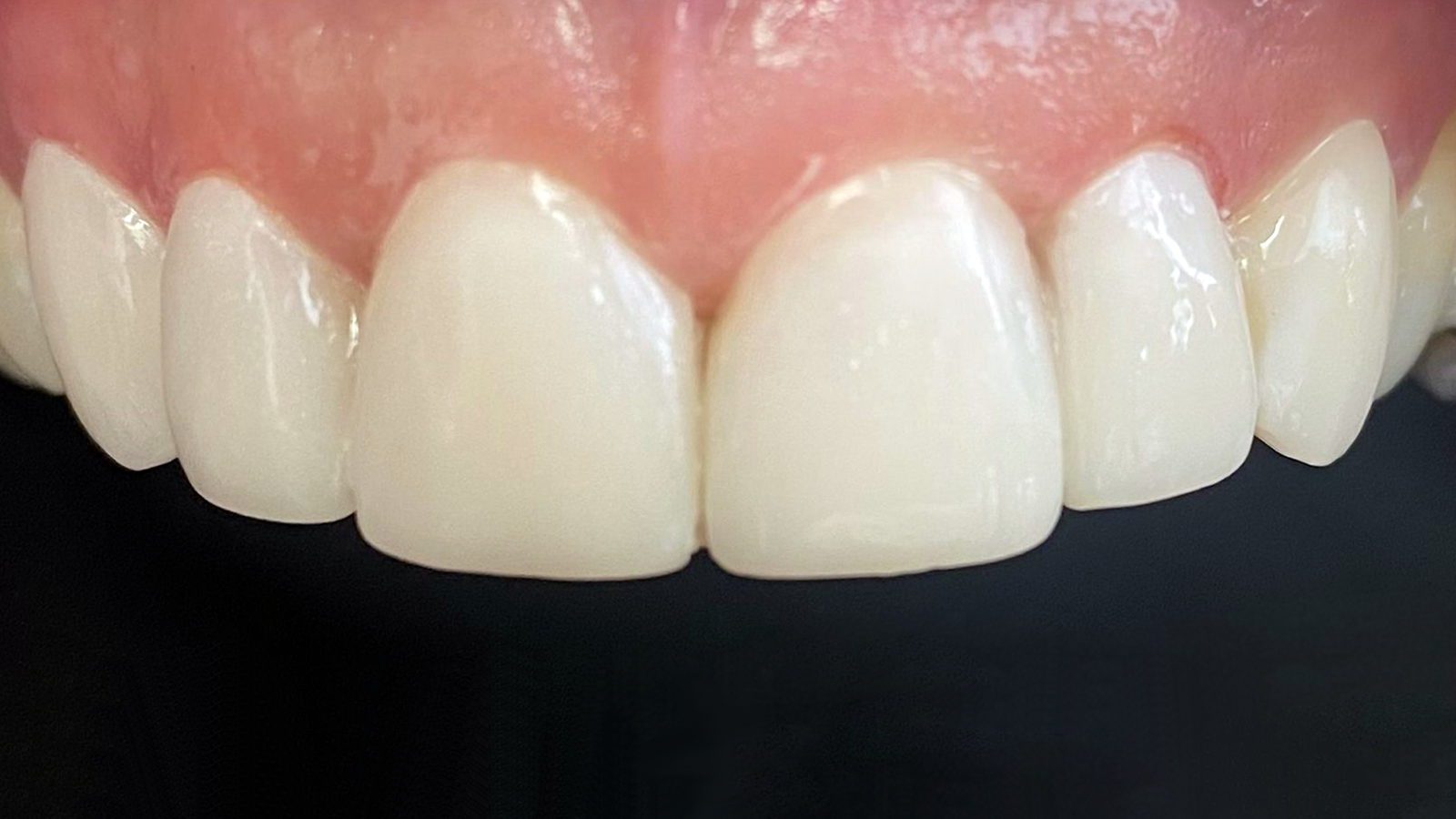
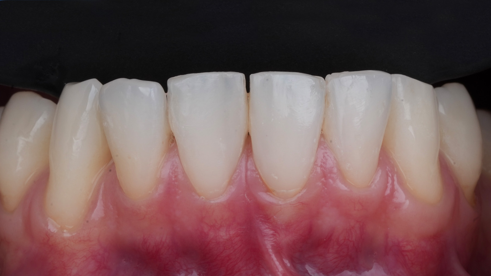
Kijk eens naar deze restauratie van cervicale laesies in de onderkaak door Dr. Christoph Lichtblau.

Voor
Na

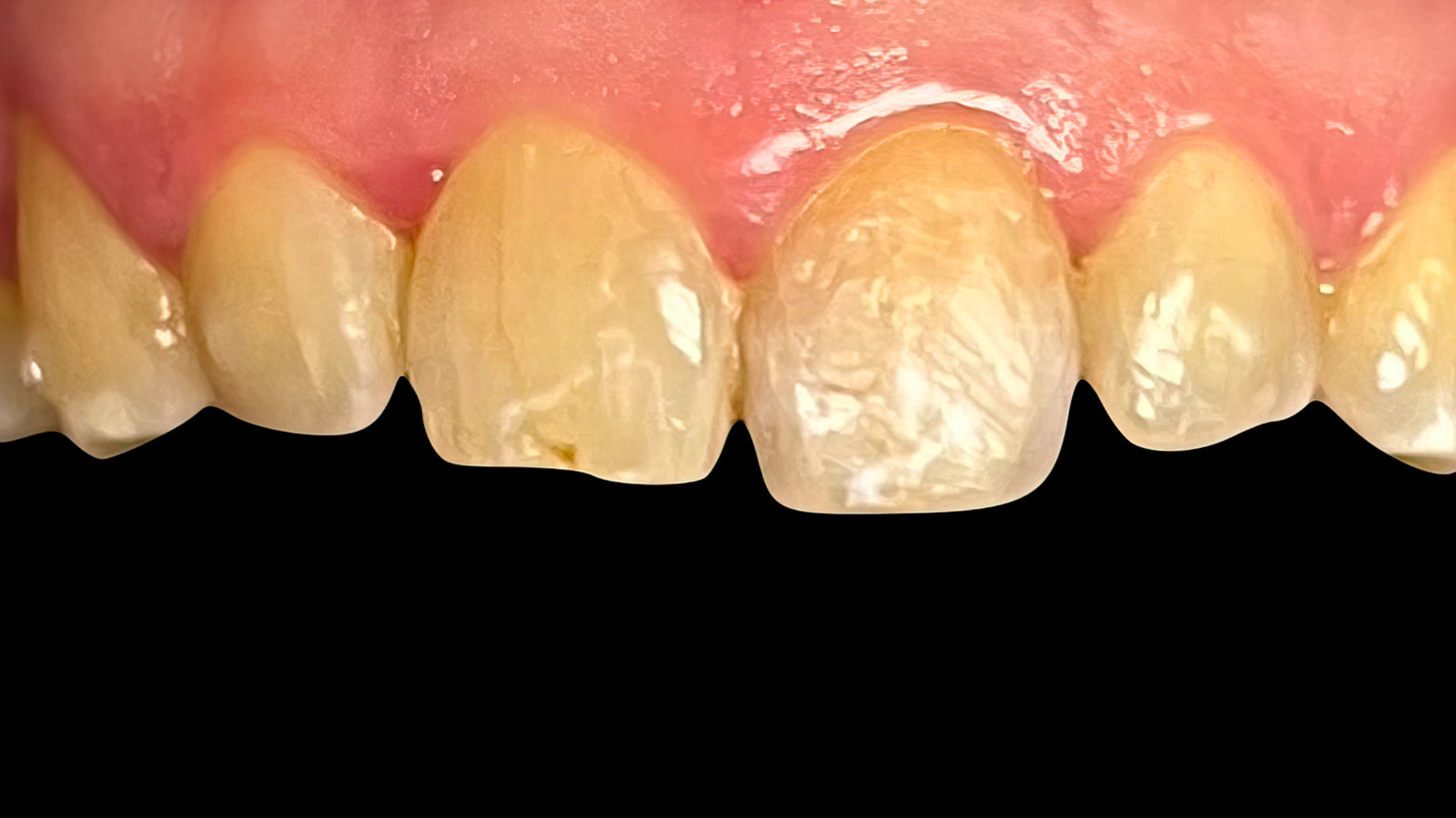
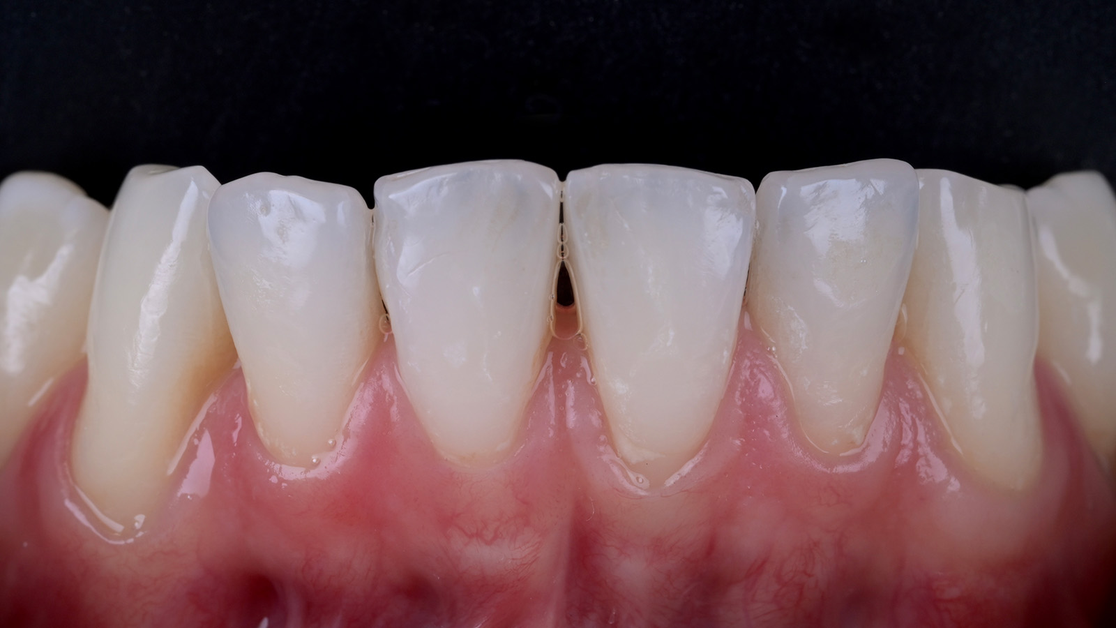
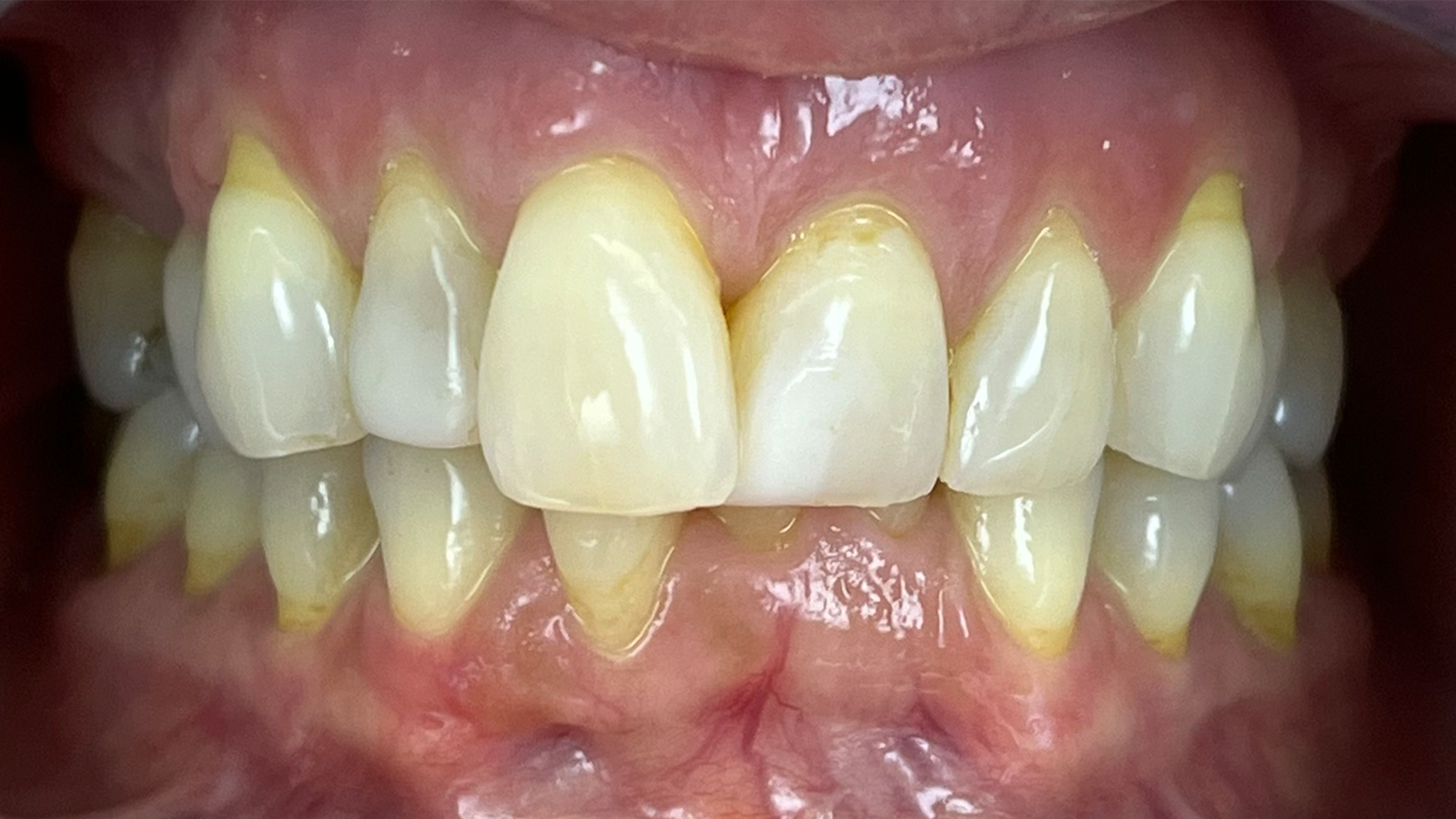
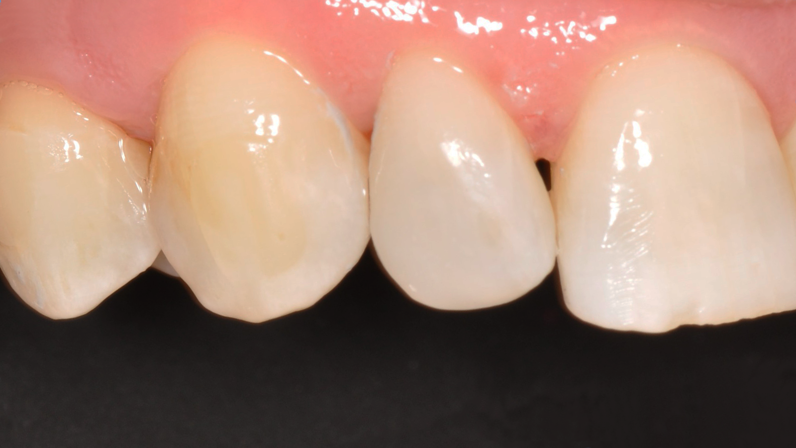
Herstel van cervicale laesies in de onderkaak met Venus Diamond Flow DARK (Dr. Christoph Lichtblau).

Caussen met Venus Pure
Casussen met Venus Pure Shades
Voor
Na

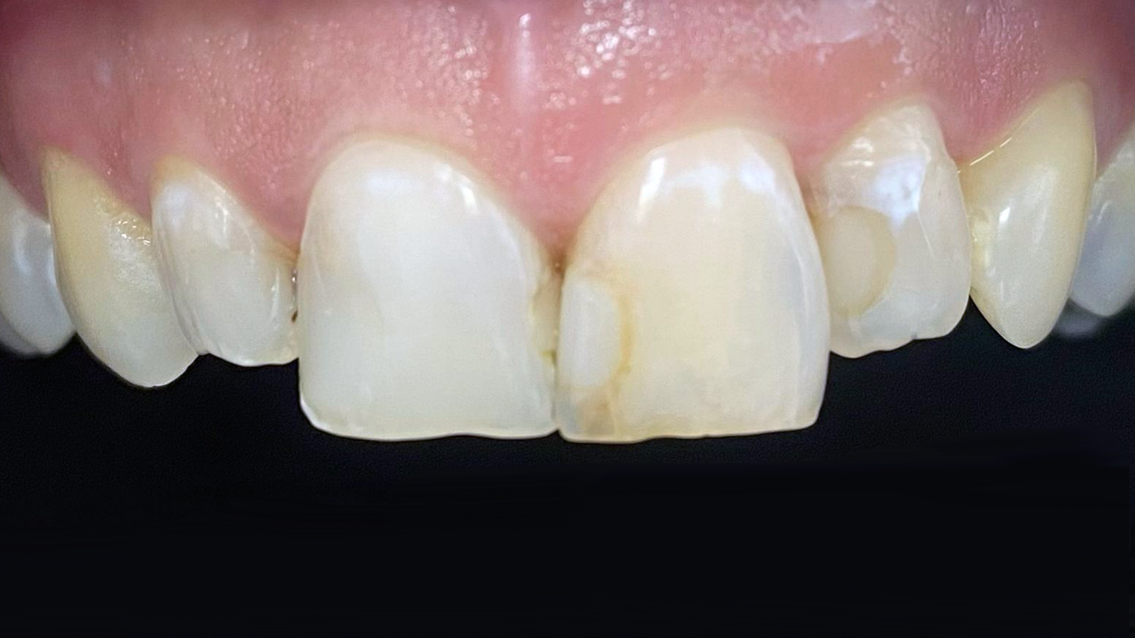
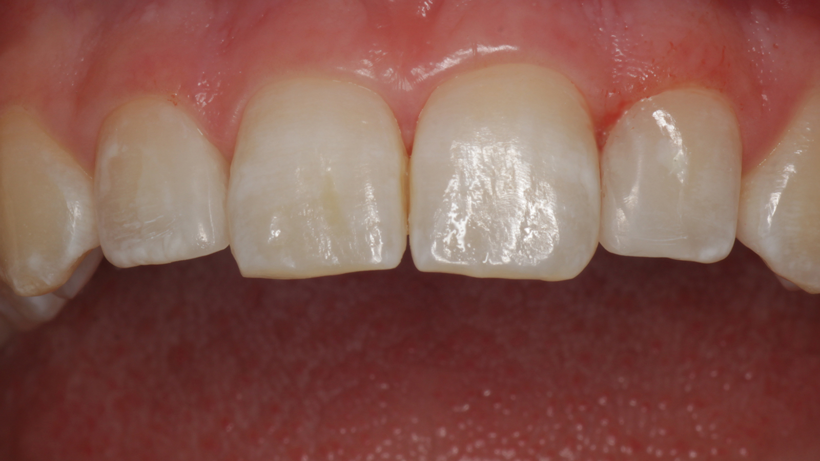
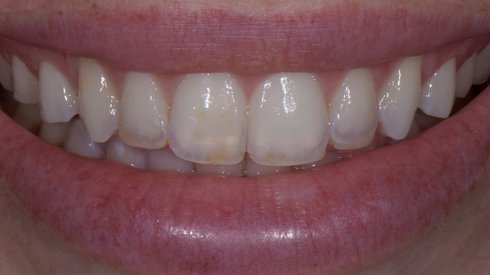
Reconstructie van tanden 15 tot en met 22 in monochromatische layering met Venus Pearl DARK en Venus Diamond OMC & Venus Supra, met uitzondering van tand 12 waar OMC werd gebruikt om de donkere gebieden te bedekken (Dr. Vegard Berg).

Voor
Na

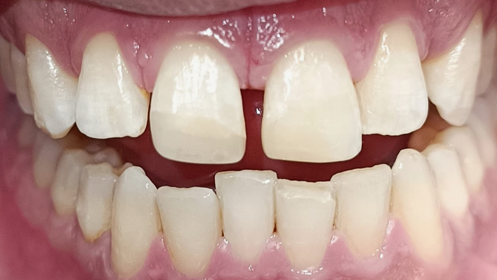
Sluiting van een mediaal diasteem in de onderkaak met Venus Pearl LIGHT & Venus Diamond Flow LIGHT (Dr. Edoardo Fossati).

Voor
Na

Opnieuw modelleren van tand 12 met Venus Diamond Flow Pure LIGHT in monochromatische layering (Dr. Mahmoud Ibrahim).

Voor
Na

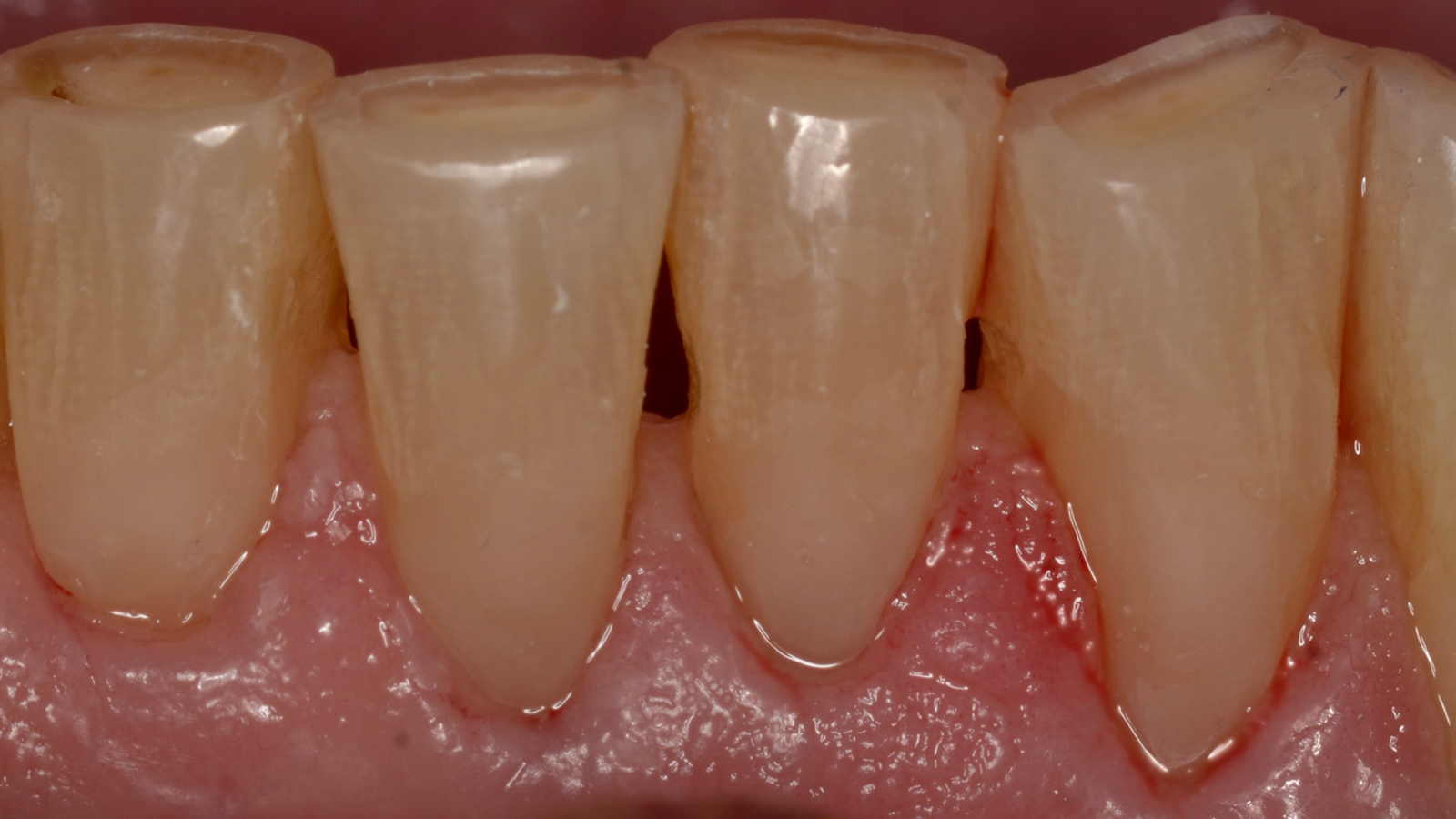
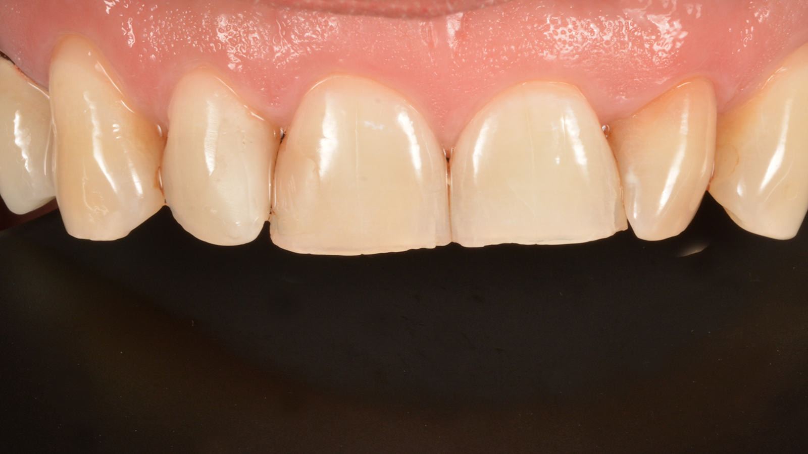
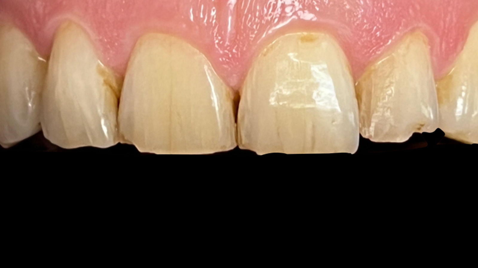
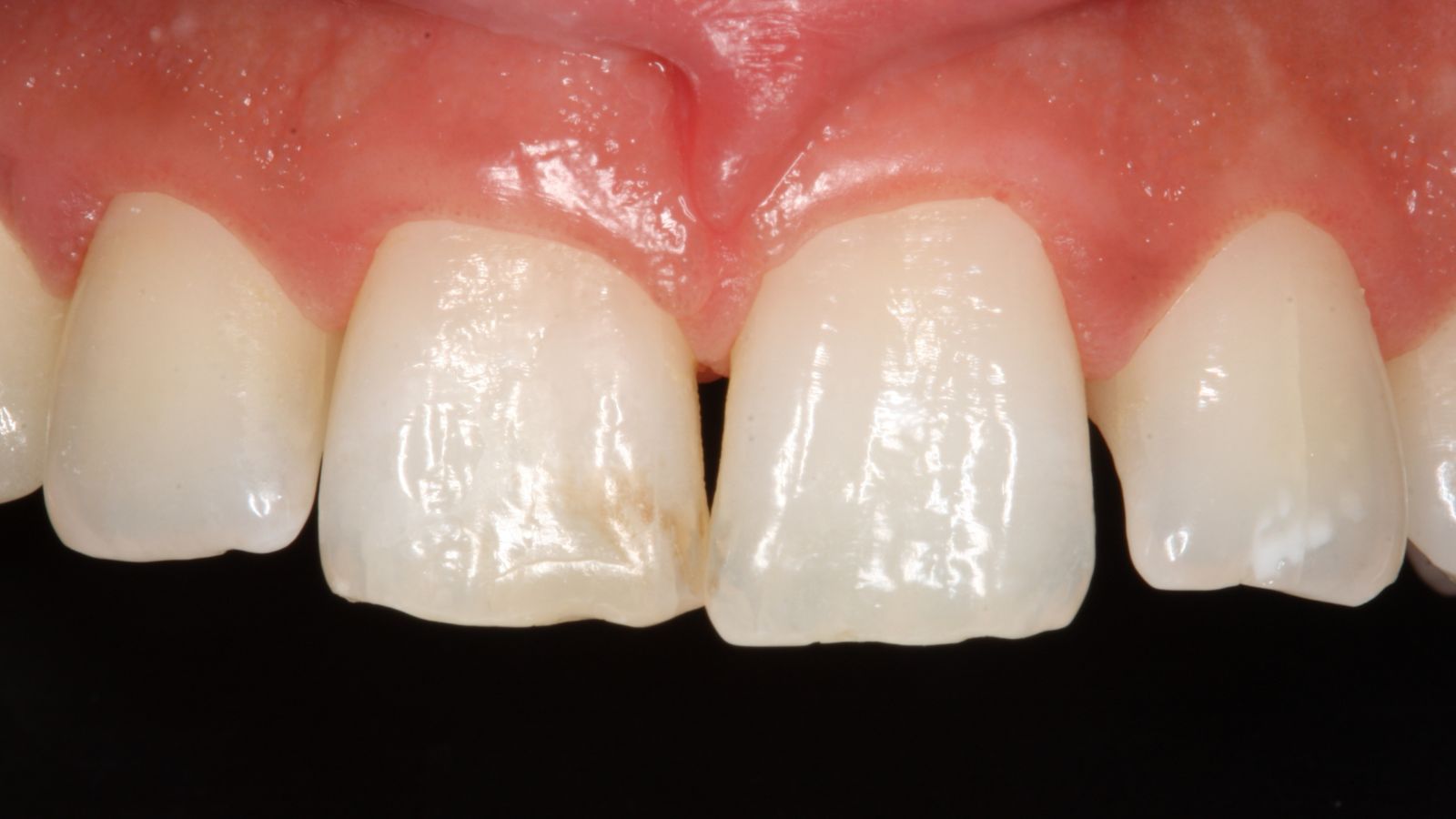
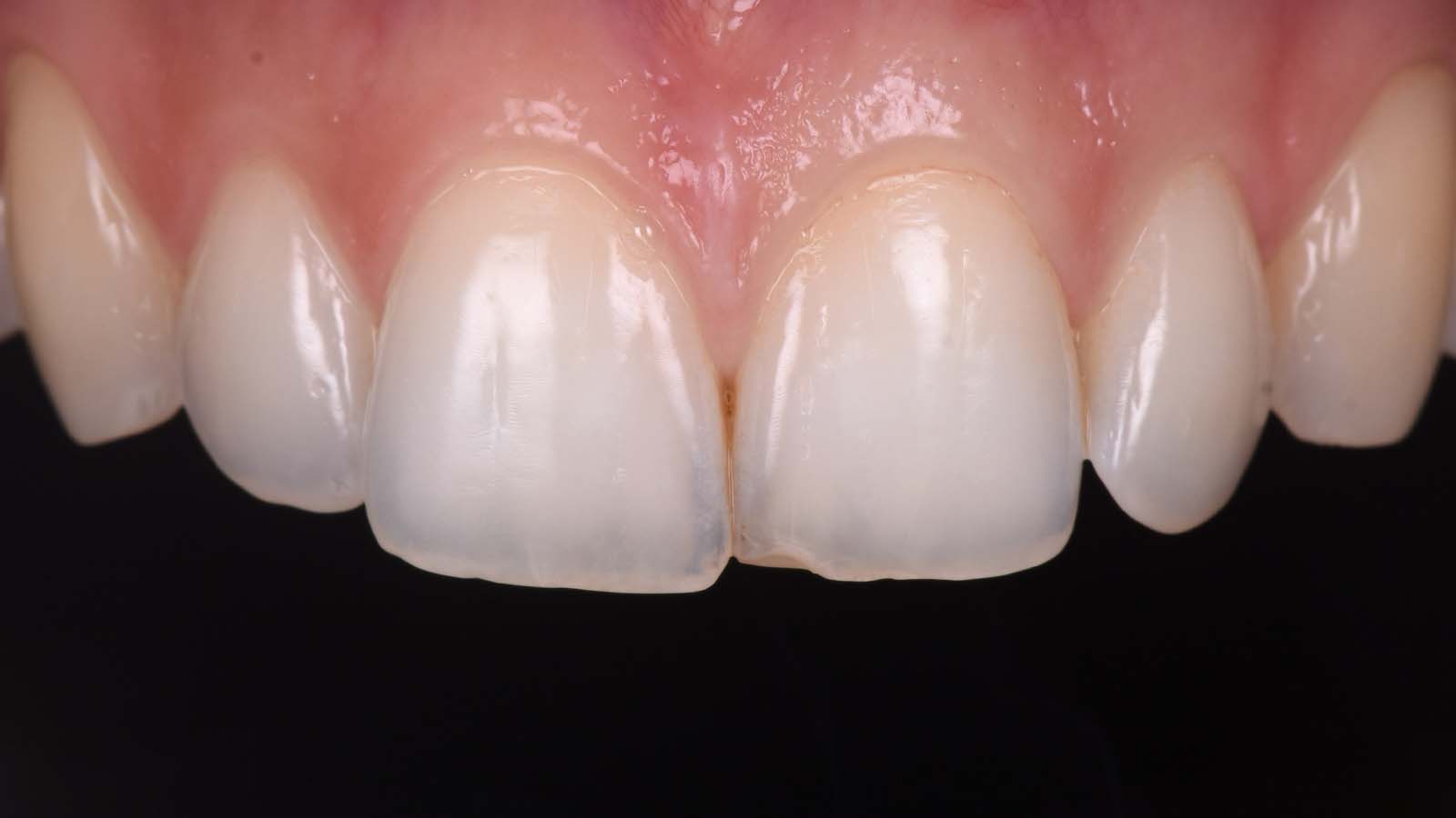
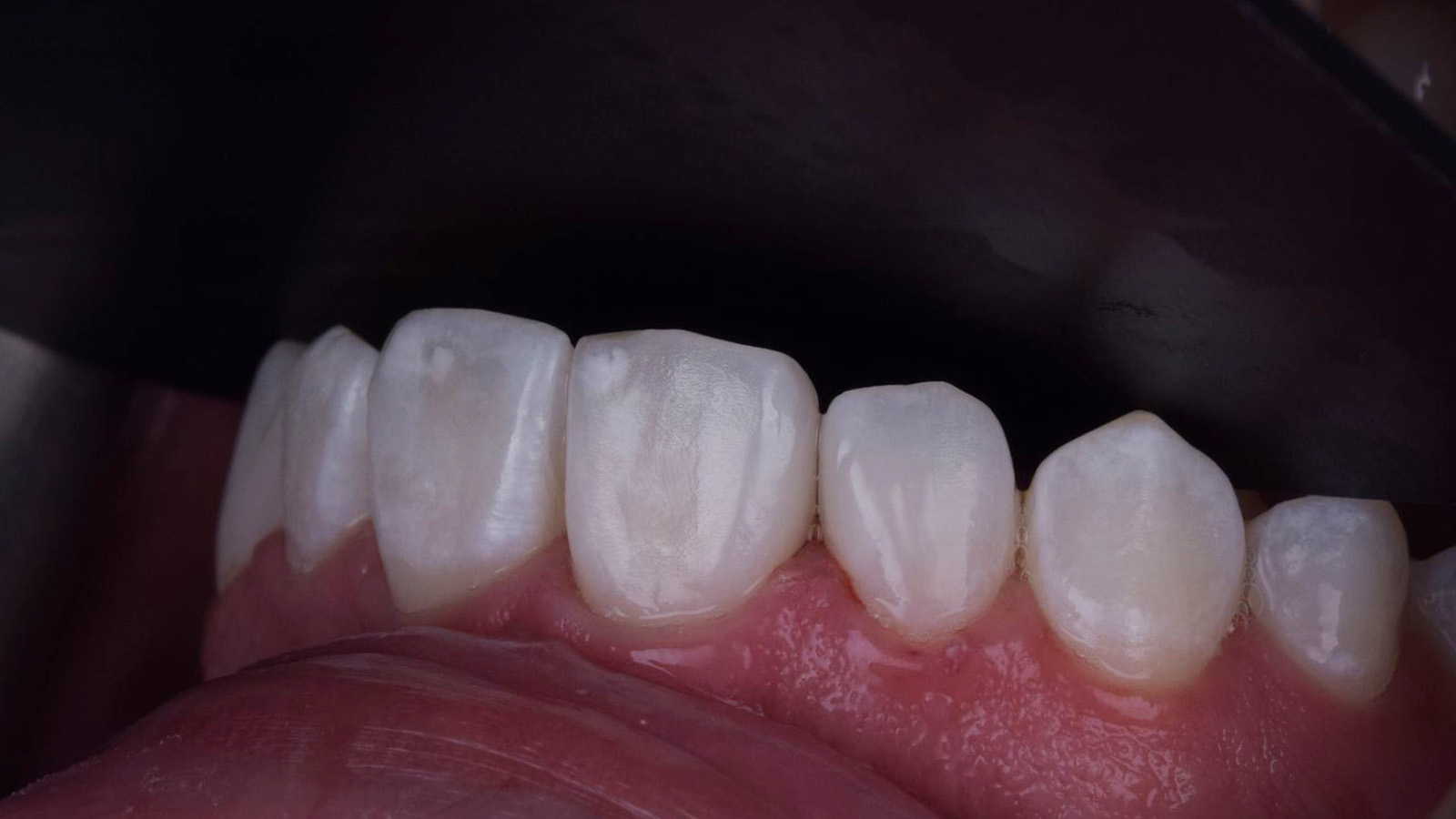
Herstel van cervicale laesies in de bovenkaak met Venus Diamond Flow DARK (Dr. Mahmoud Ibrahim).

Voor
Na

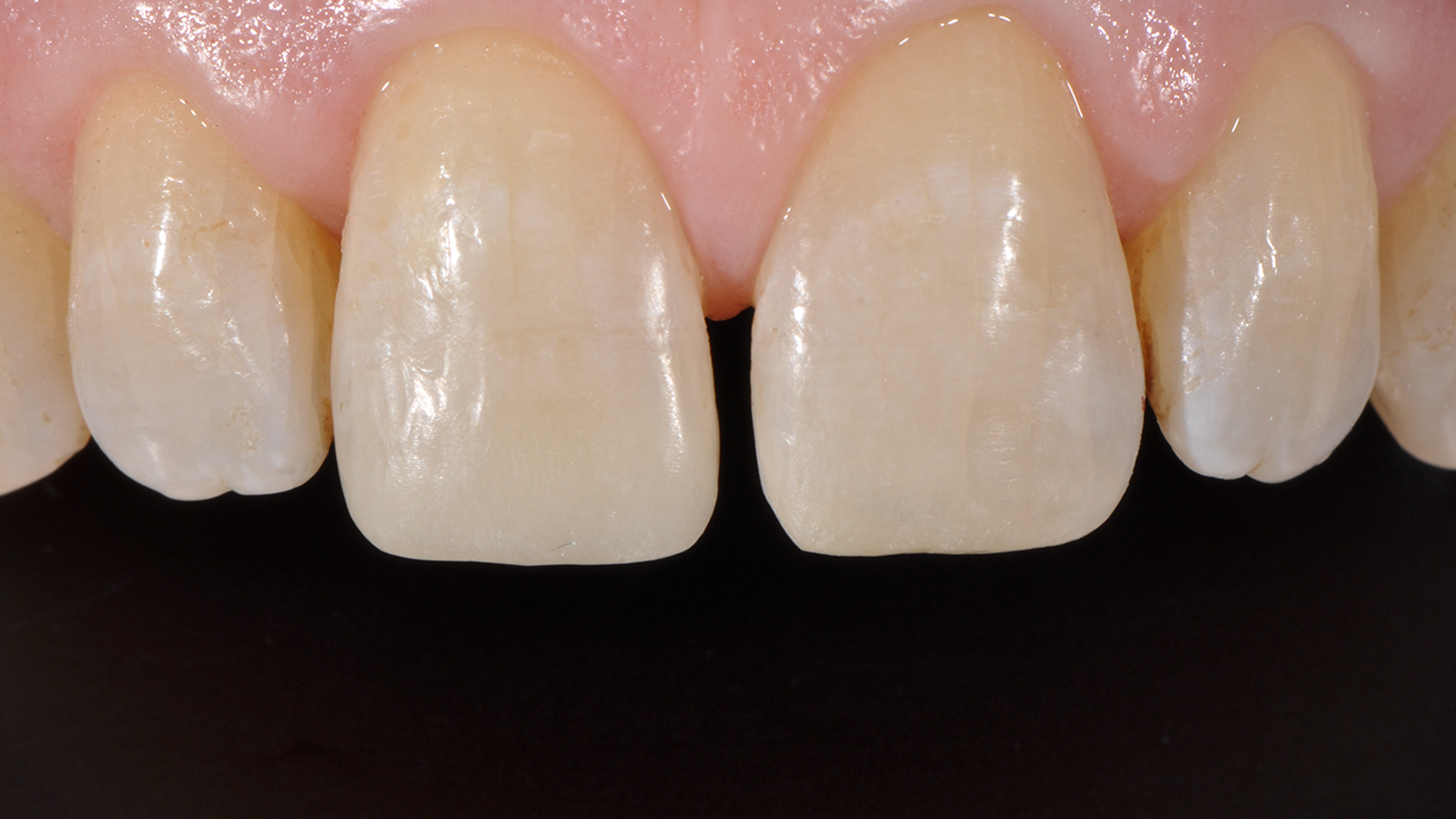
Herstel van cervicale laesies in de onderkaak met Venus Diamond Flow DARK (Dr. Christoph Lichtblau).

Voor
Na

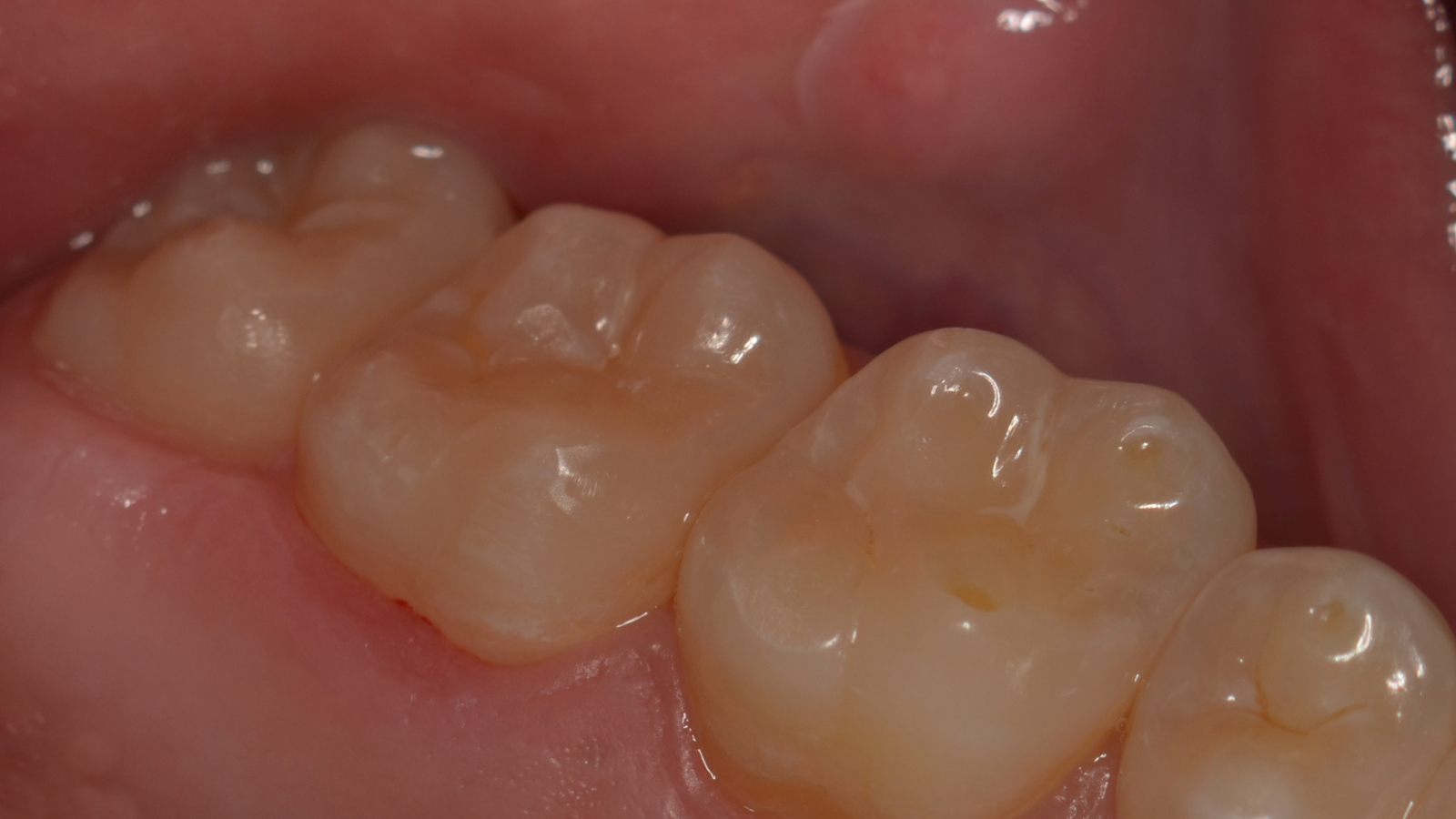
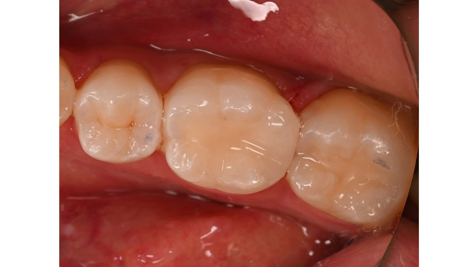
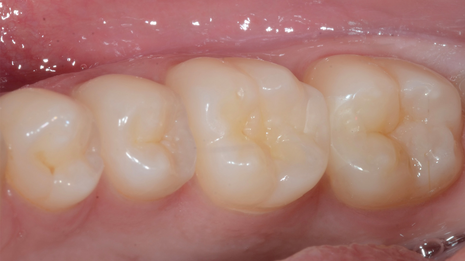
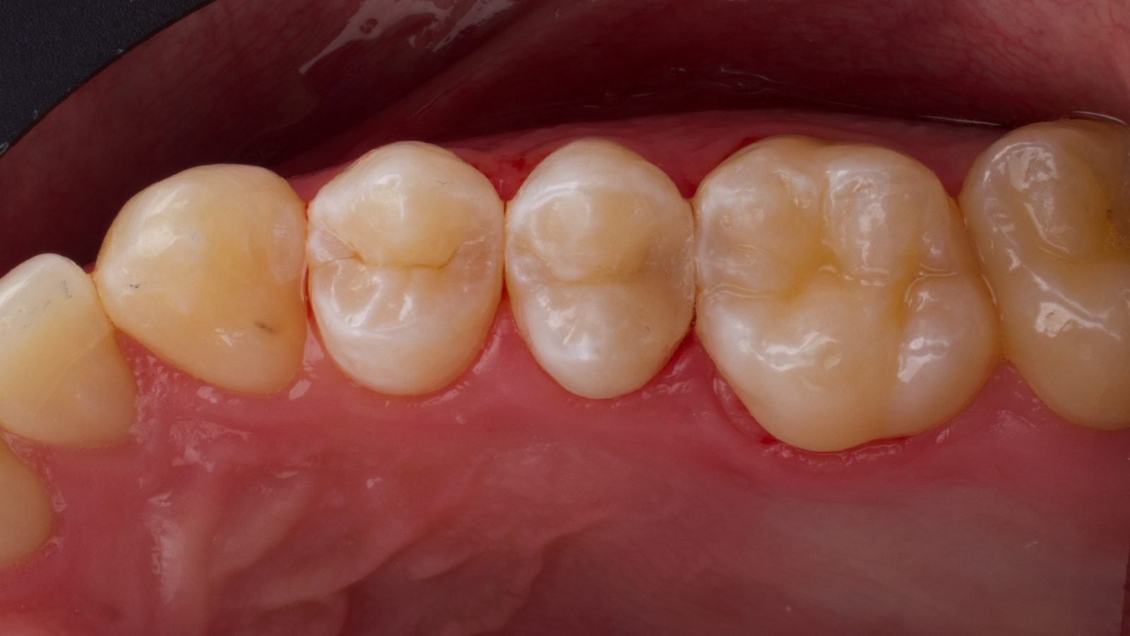
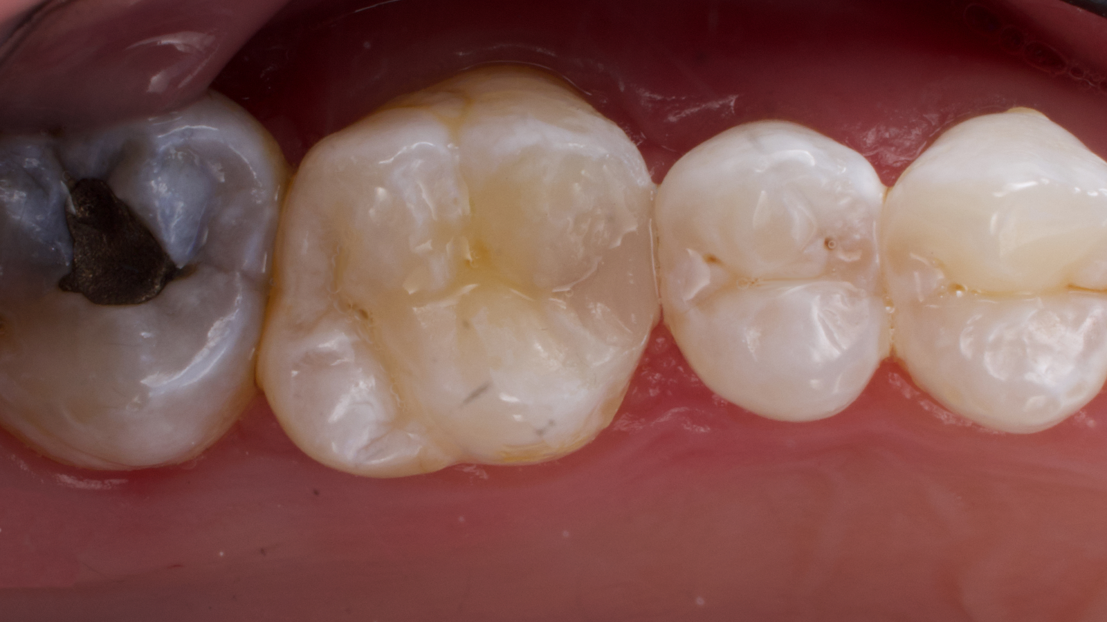
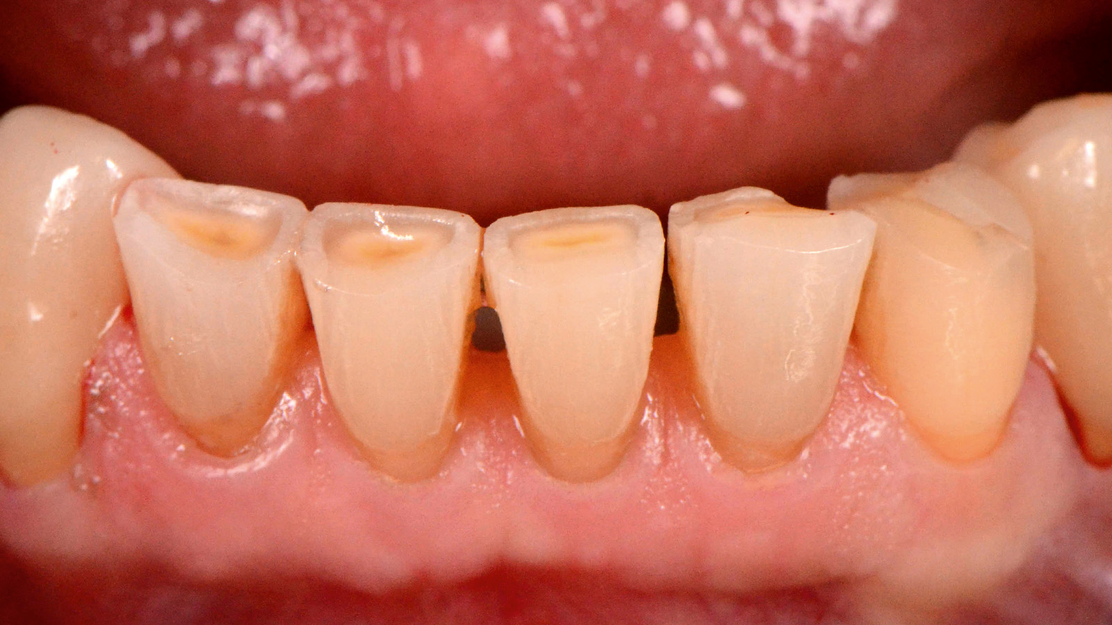
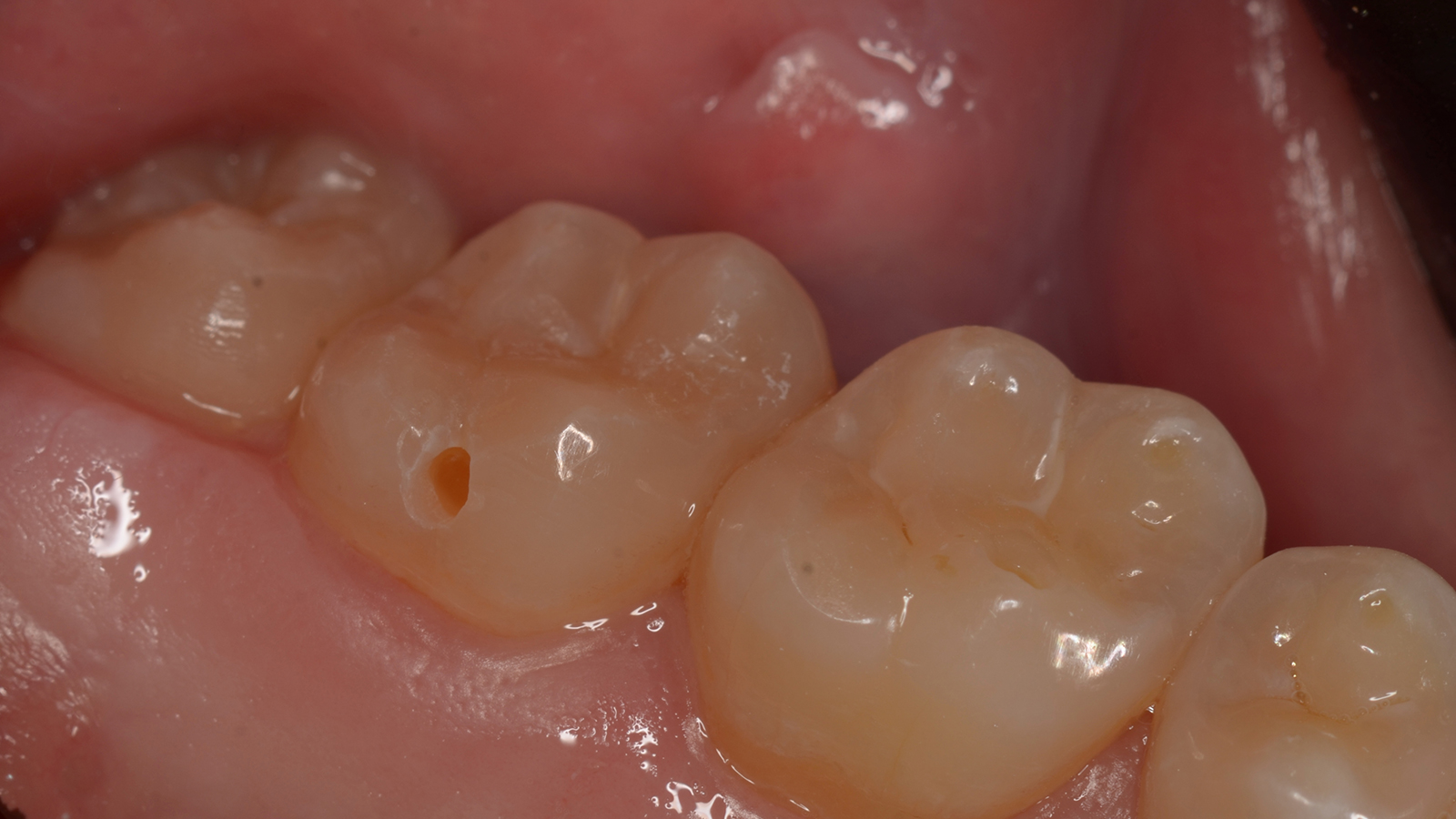
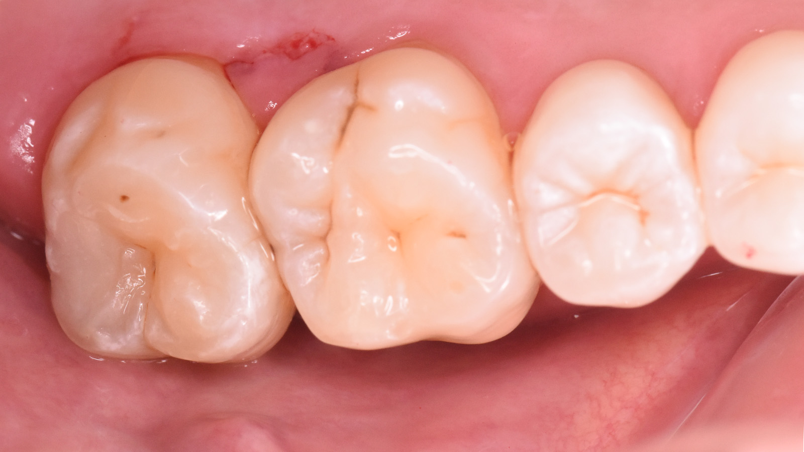
Reconstructie van cariëslaesie in de bovenste kies met Venus Diamond Flow MEDIUM & iBOND Universal (Dr. Christoph Lichtblau).

Voor
Na

Monochromatische diasteemsluiting vervult de wens van patiënten voor een snelle en betrouwbare oplossing met Venus Pearl LIGHT (Dr. Jukka Paakkanen).

Voor
Na

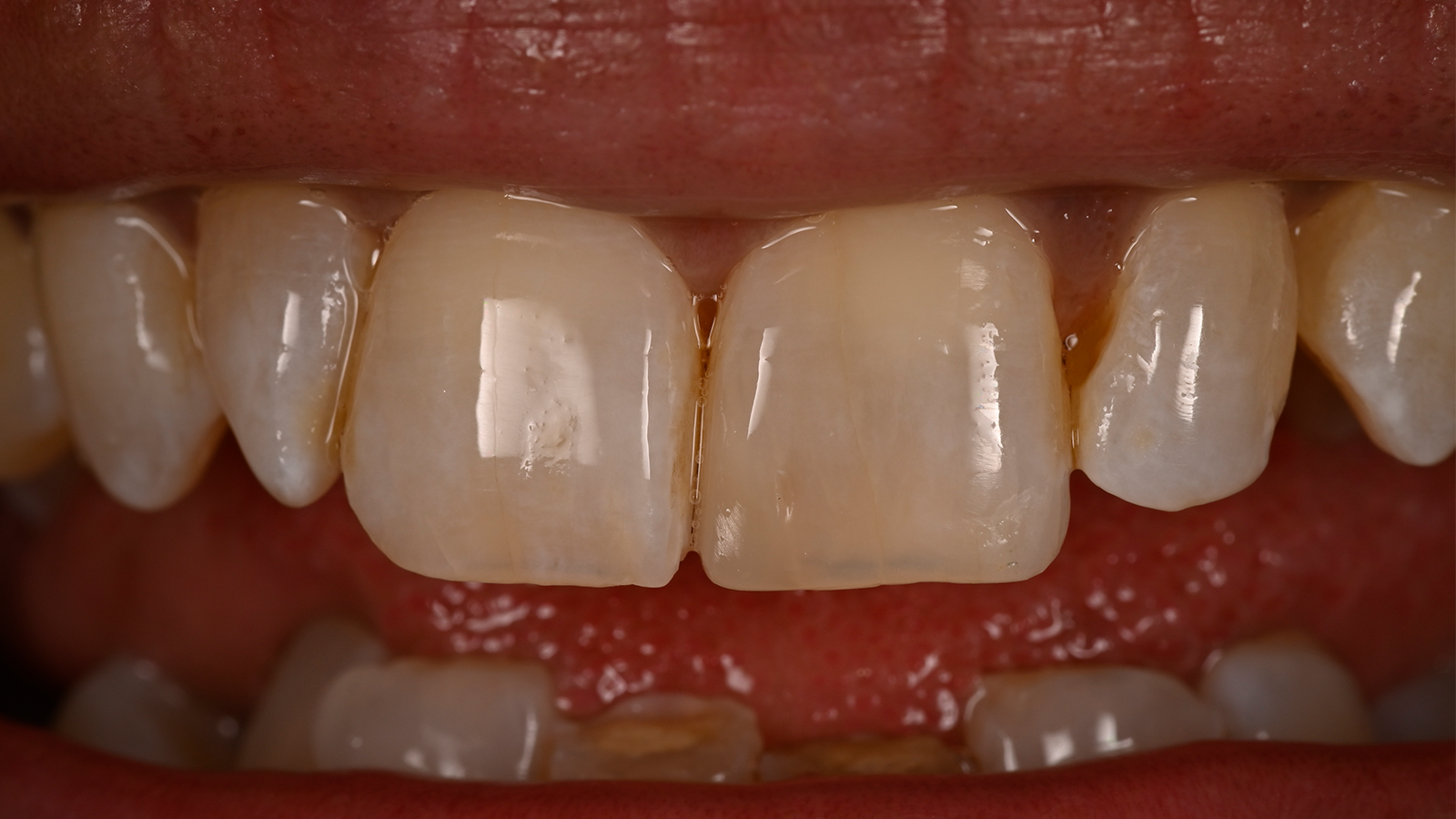
Snelle monochromatische oplossing voor beschadigde bovenste centrale voortanden met Venus Pearl MEDIUM (Dr. Jukka Paakkanen).

Voor
Na

Monochromatische correctie van een kleine beschadiging aan tand 11 met Venus Pearl LIGHT (Dr. Jukka Paakkanen).

Voor
Na

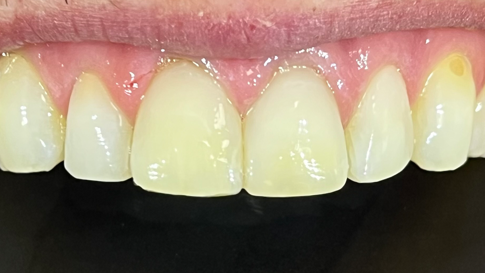
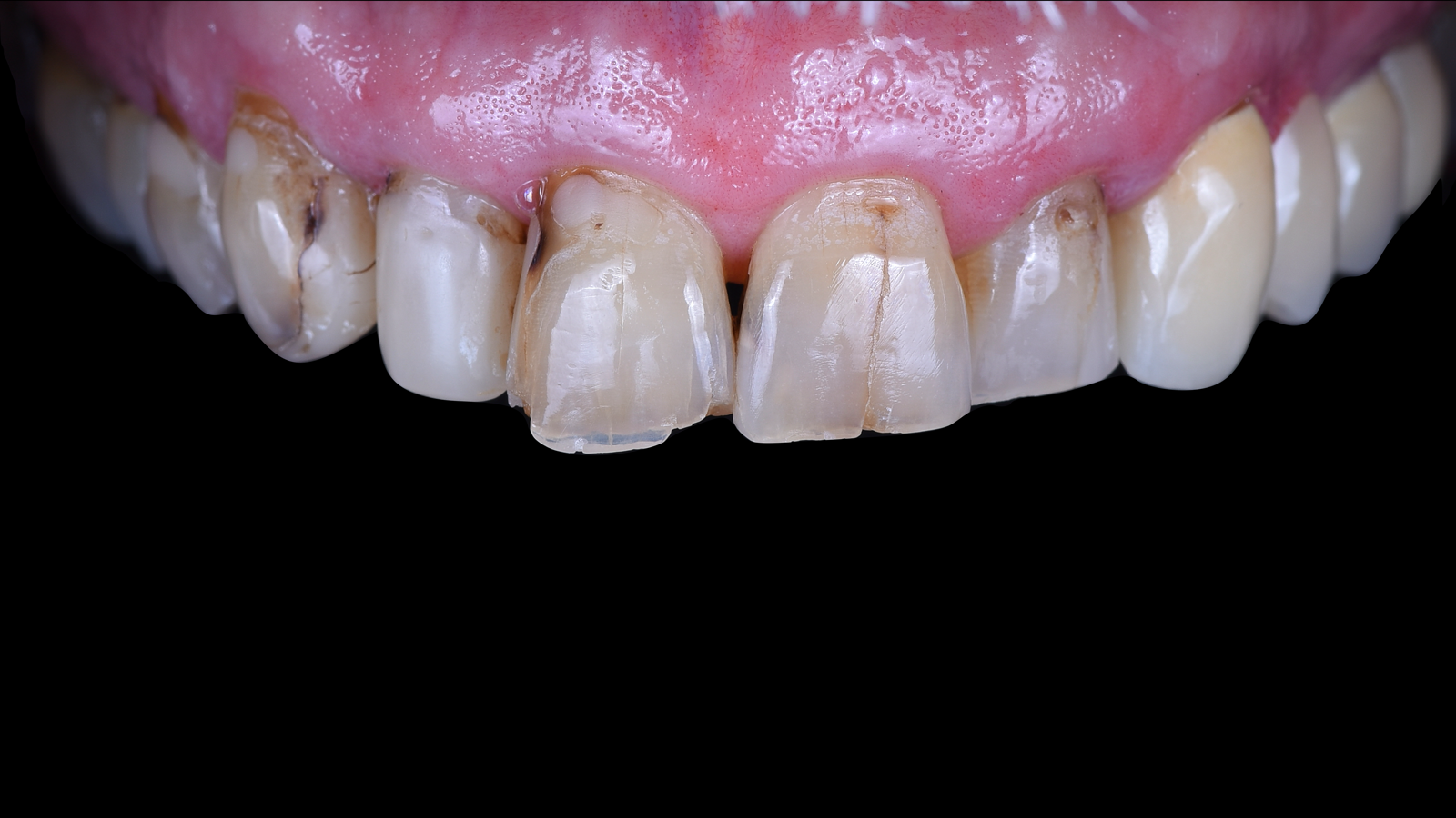
Minimaal invasieve monochromatische esthetische reconstructie van de boventanden met Venus Pearl BLEACH (Dr. Azadeh Balalaie).

Voor
Na

Esthetische reconstructie van scheve tanden in het boven- en onderfront met Venus Pearl LIGHT & Venus Color (Dr. Henrik Hjelte).

Voor
Na

Cervicale reconstructie van het bovenfront met Venus Pearl LIGHT (Dr. Henrik Hjelte).

Voor
Na

Esthetische monochromatische reconstructie van de tanden 11, 21 en 22 met Venus Pearl LIGHT (Dr. Henrik Hjelte).

Voor
Na

Vervanging van de oude composietvulling op de bovenste linker centrale snijtand met Ivory Rubber Dam, iBOND Universal, Venus Pearl LIGHT & Venus Supra (Dr. Laura Mokhtari).

Voor
Na

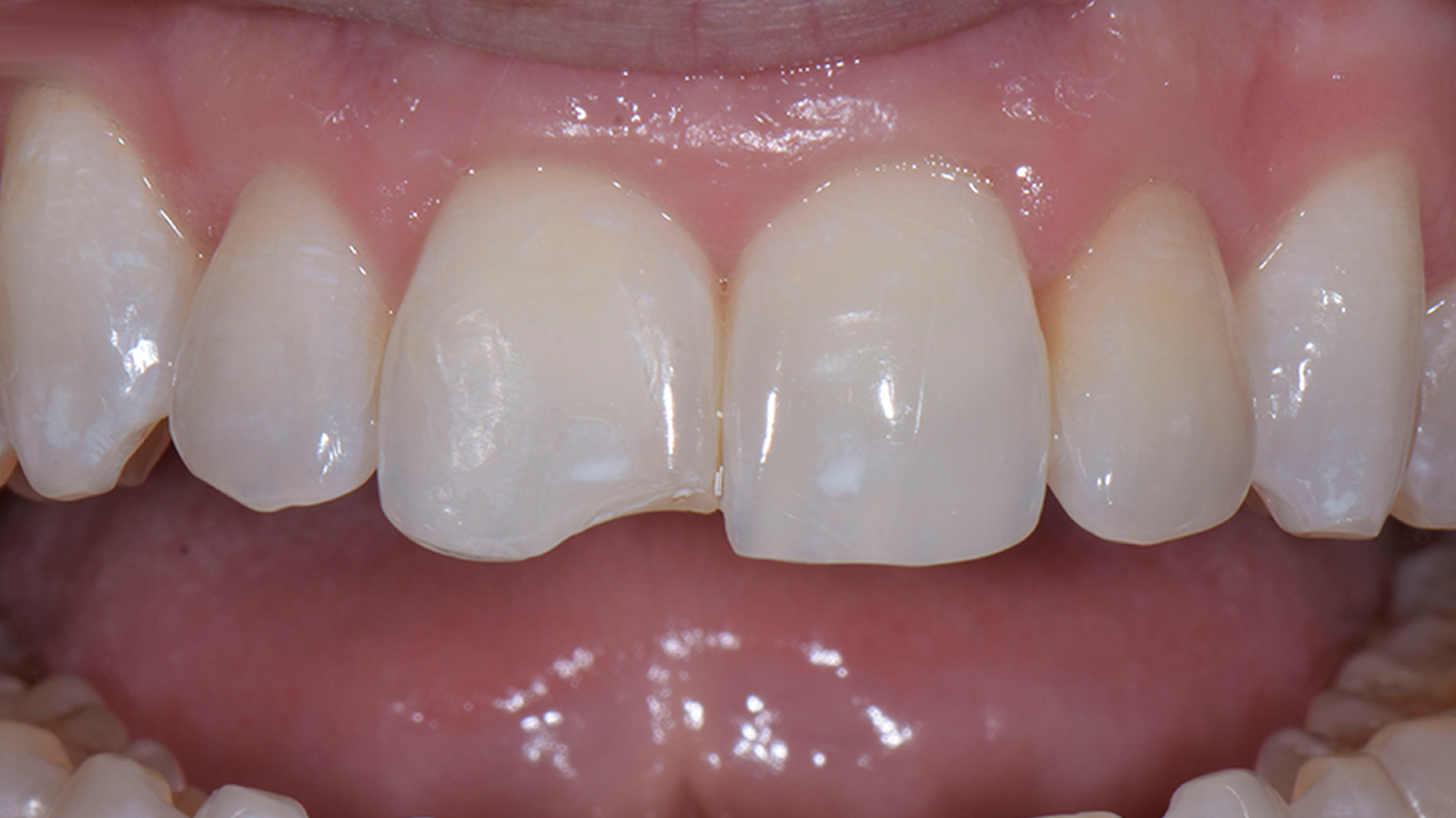
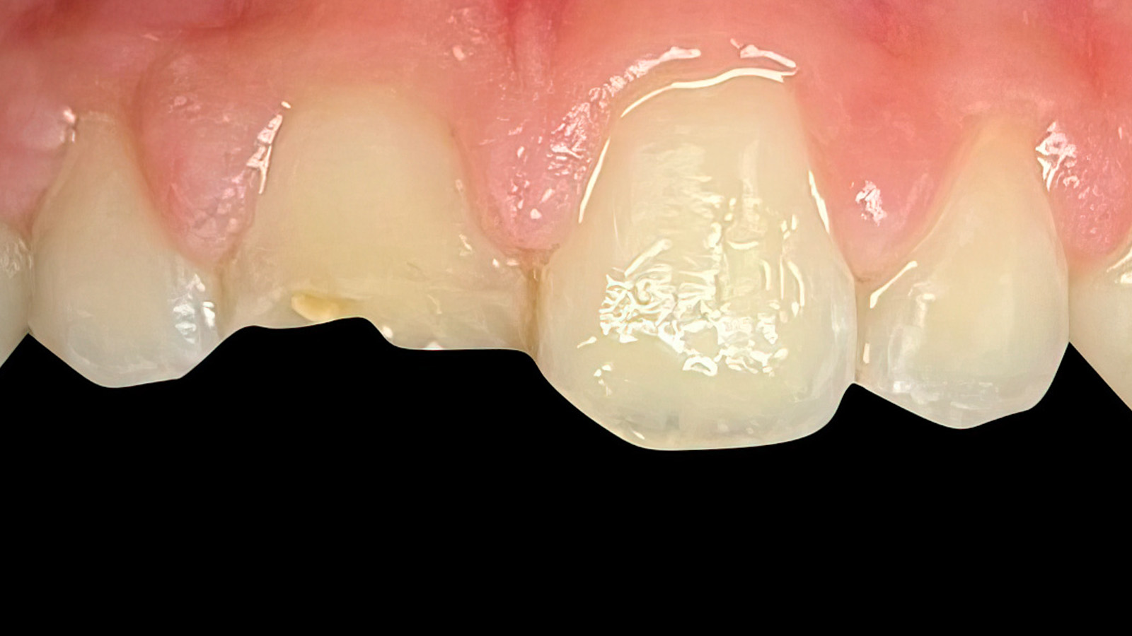
Klasse IV-restauratie op element 11 na fractuur en cosmetische correctie op element 12 met Ivory Rubber Dam, iBOND Universal, Venus Pearl LIGHT & Venus Supra (Dr. Dimple Desai).

Voor
Na

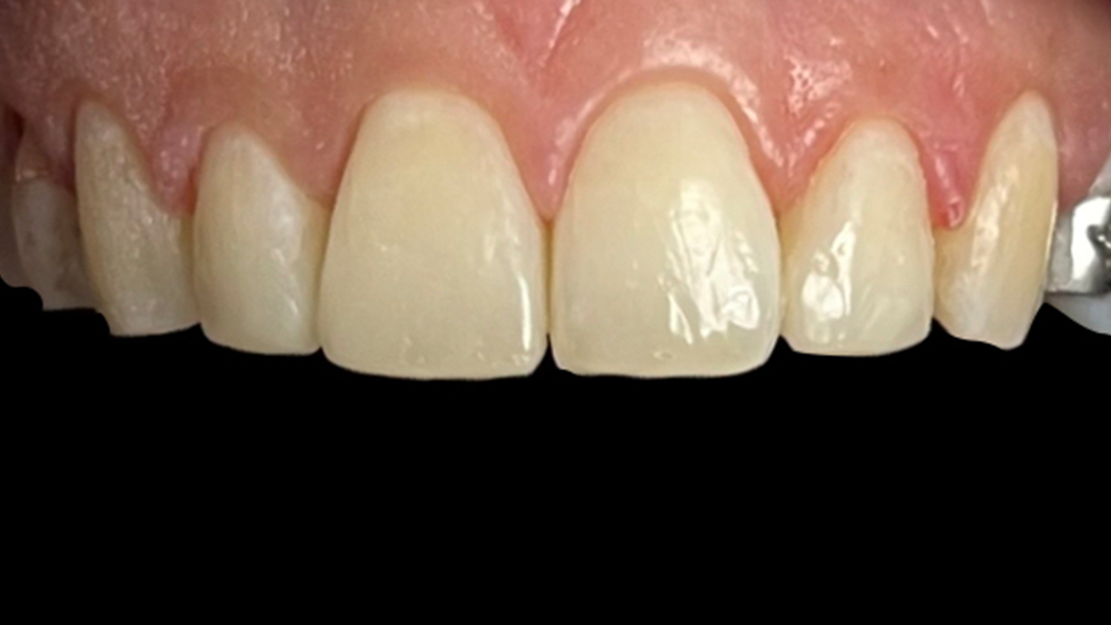
Directe veneers op elementen 12 tot 22​ met Venus Pearl MEDIUM (Dr. Dimple Desai).

Voor
Na

Directe restauratie van elementen 11 en 21 na breuken in de incisale rand in monochromatische layering met Venus Pearl MEDIUM (Dr. Alvaro Gusmara).

Voor
Na

Diasteemsluiting bij elementen 12 mesiaal en 22 mesiaal na orthodontische behandeling met Venus Pearl LIGHT & Venus Supra (Dr. Janine Schweppe).

Voor
Na

Nieuwe composietrestauraties bij tanden 14od en 15om met Venus Bulk Flow ONE & Venus Pearl MEDIUM (Dr. Patrik Bargiel).

Voor
Na

Restauratie van carieuze laesie op tand 36 met Venus Bulk Flow ONE & Venus Pearl LIGHT (Dr. Patrik Bargiel).

Before
After

Klasse IV restauratie van element 21 met Venus Pearl MEDIUM na een ongeval (Dr. Patrik Bargiel).

Voor
Na

Restauratie van twee voortanden (elementen 11 en 21) met behulp van Venus Pearl MEDIUM composiet in monochromatische layering (Dr. Riccardo Baratto).

Voor
Na

Correcte anatomische en esthetische reconstructie van element 12 met Venus Diamond MEDIUM (Dr. Gianluca D'Oria).

Voor
Na

Klasse IV restauratie van element 31 met Venus Pearl MEDIUM (Barelli Corbo, Federico).

Voor
Na

Klasse IV restauratie van element 21 met Venus Pearl MEDIUM (Dr. Pianticella Corinne).

Voor
Na

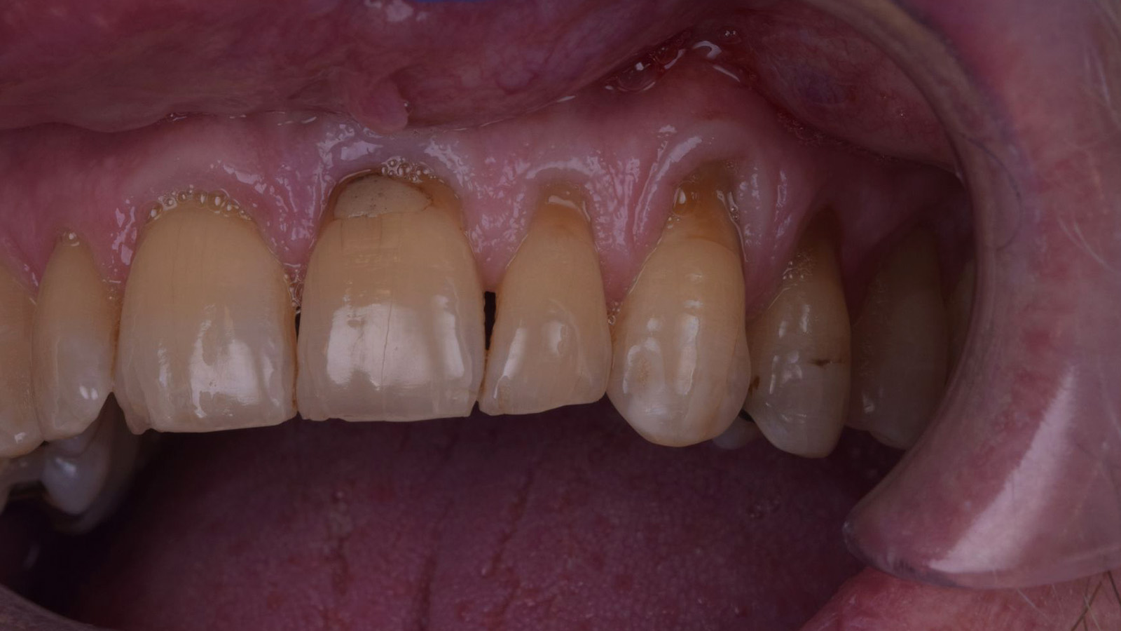
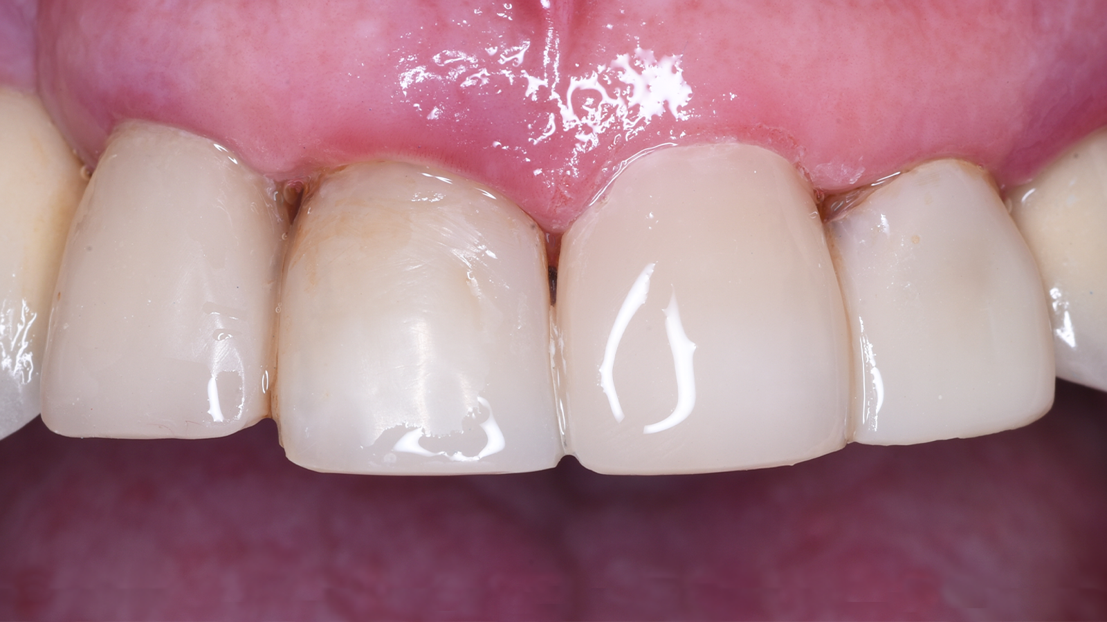
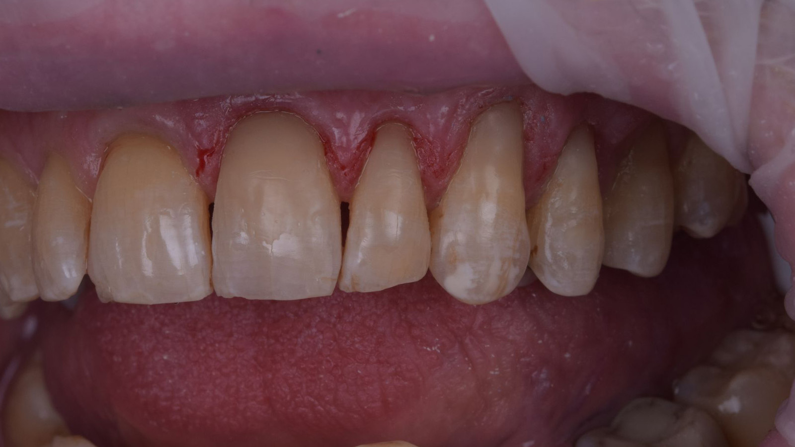
Vervanging van een restauratie en anatomische correctie van de voortanden (13 to 23) met Venus Diamond LIGHT (Dr. Álvarez Rodríguez).

Voor
Na

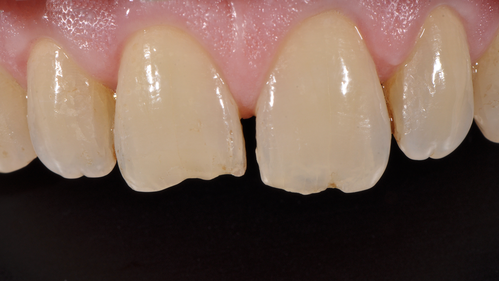
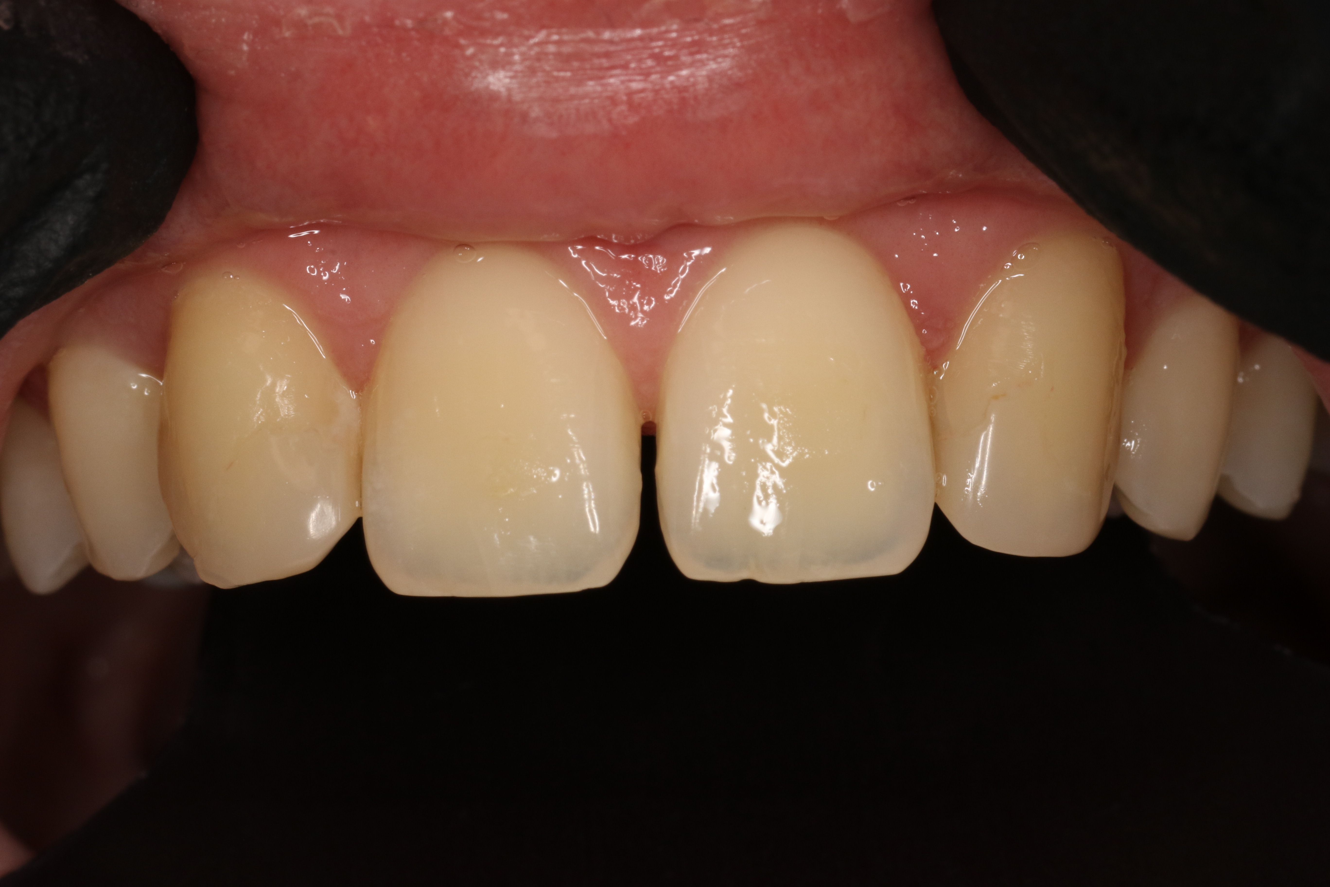
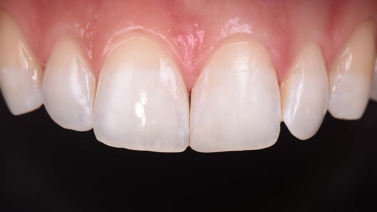
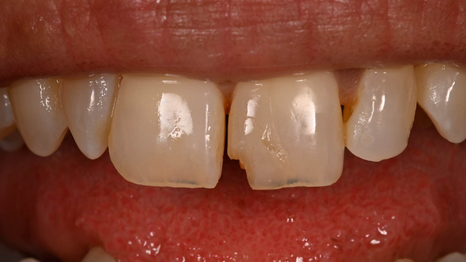
Directe restauratie van een gebroken 10 jaar oude composietfineer op element 21 met Venus Diamond DARK (Dr. Álvarez Rodríguez).

Voor
Na

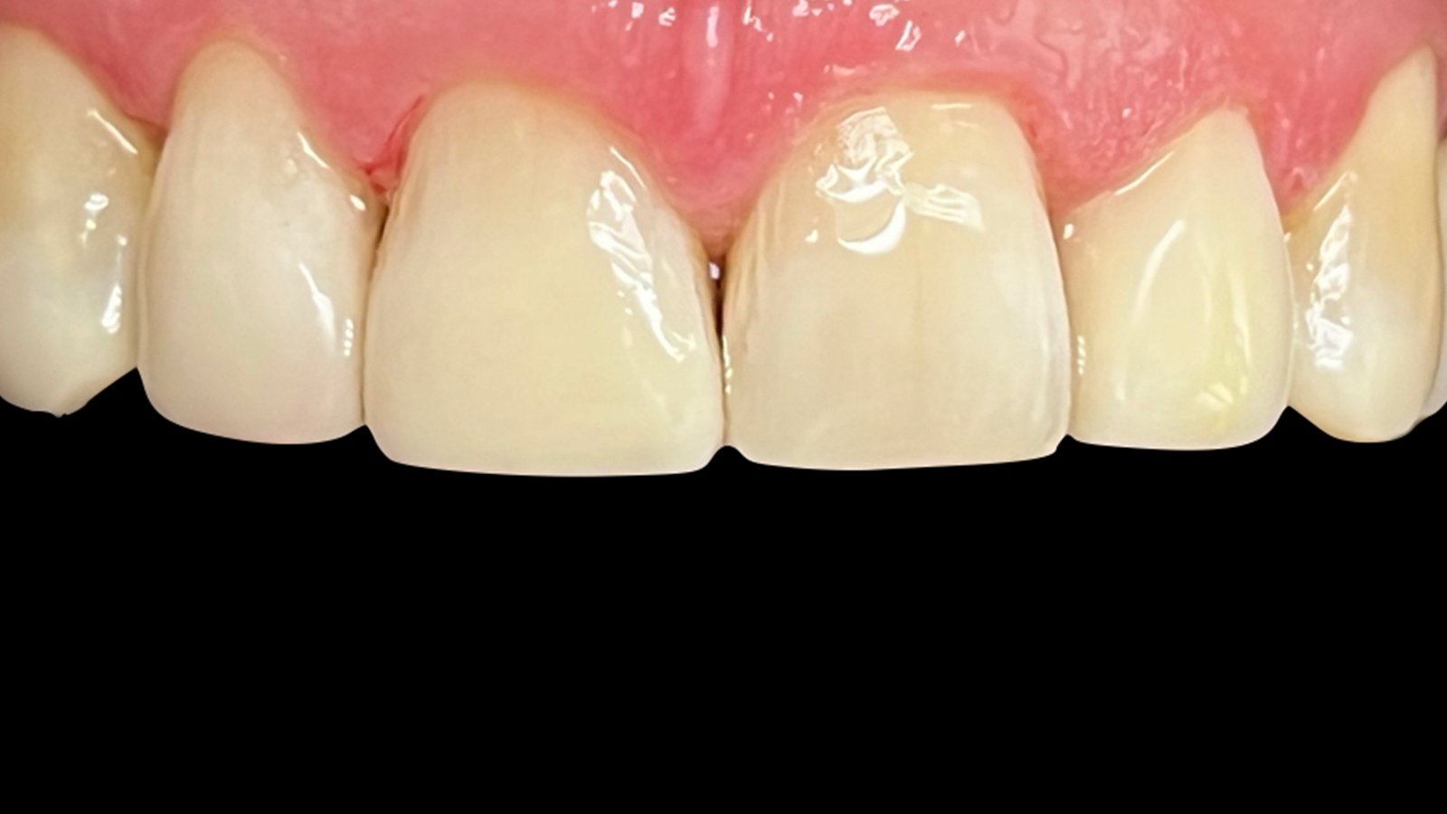
Reconstructie van tandabrasie in het onderste frontgebied met Venus Pearl MEDIUM (Dr. Francesco Lerda).

Voor
Na

Vervanging van een amalgaamrestauratie met Venus Pearl LIGHT (Dr. Siddarth Gupta).

Voor
Na

Vervanging van een oude vulling op de eerste molaar met Venus Pearl LIGHT (Dr. Siddarth Gupta).

Voor
Na

Vervanging van een amalgaamrestauratie met secundaire cariës in de tweede premolaar met Venus Pearl LIGHT (Dr. Siddarth Gupta).

Voor
Na

Directe morfologische restauratie van de bovenste voortanden met Venus Pearl LIGHT (Dr. Alessandro Conti).

Voor
Na

Vervanging van een oude verkleurde vulling bij de laterale incisor met Venus Pearl LIGHT (Dr. Vincenzo Vitale).

Voor
Na

Esthetische reconstructie van de voorste tanden met Venus Pearl LIGHT (Dr. Alicia Serra).

Voor
Na

Esthetische reconstructie van de voortanden met Venus Pearl LIGHT (Dr. Alicia Serra).

Voor
Na

Directe sluiting van de opening in het onderfront met Venus Pearl MEDIUM (Dr. Alicia Serra).

Voor
Na

Esthetische reconstructie van de bovenste voortanden met Venus Pearl MEDIUM (Dr. Alicia Serra).

Voor
Na

Esthetische reconstructie van gebroken elementen 11 en 21 met Venus Pearl BLEACH (Dr. Alícia Serra).

Voor
Na

Reconstructie van carieuze laesies op elementen 36 en 37 met Venus Pearl LIGHT (Dr. Filippo Del Curto).

Voor
Na

Restauratie van een occlusale cariëslaesie in de tweede molaar met Venus Pearl LIGHT (Dr. Daniel Çaga).

Voor
Na

Restauratie van zeer beschadigde voortanden met Venus Pearl MEDIUM (Dr. Fraser Tait).

Voor
Na

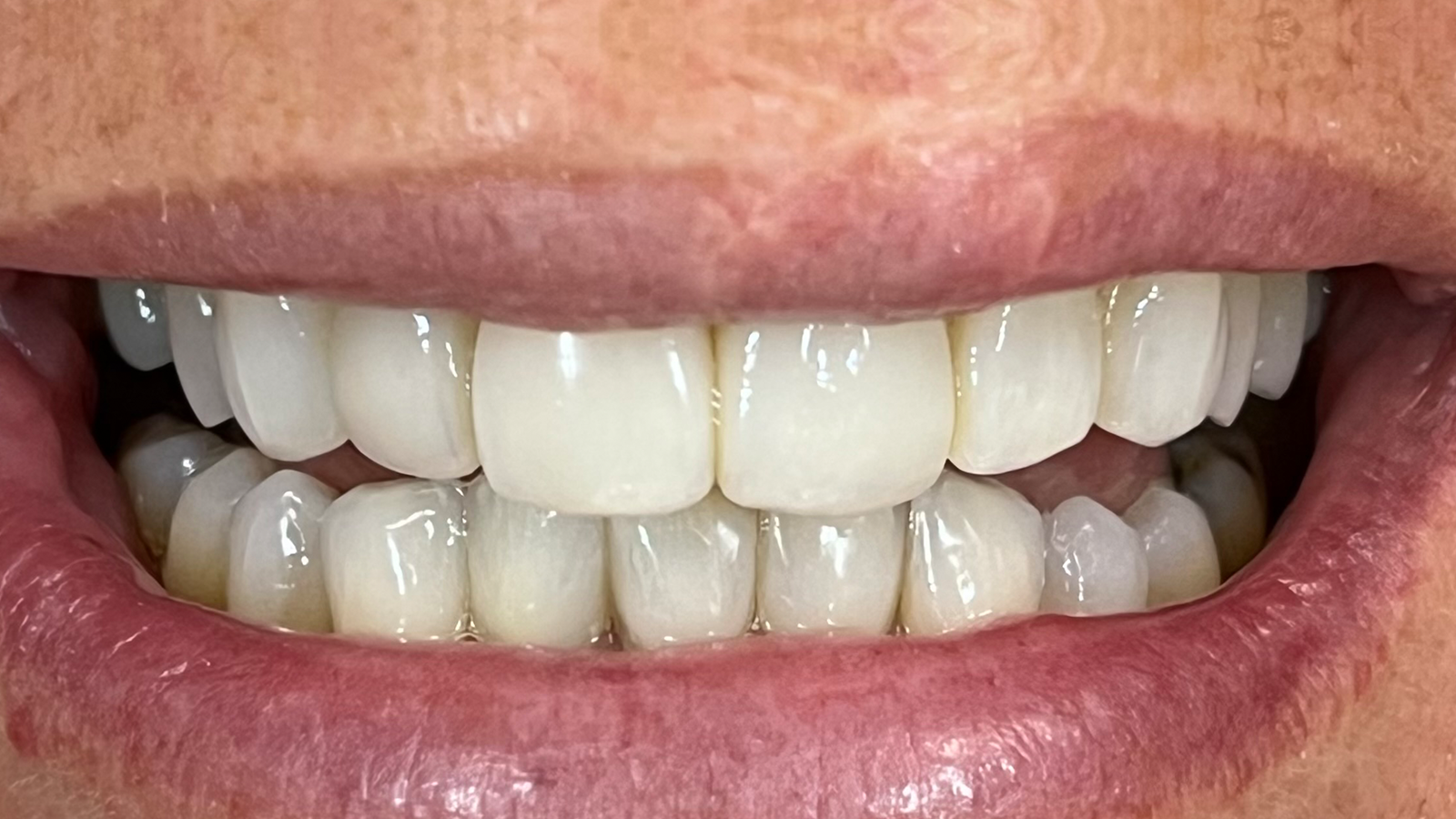
Esthetische verbetering van voortanden bij een oudere patiënt binnen een opmerkelijk korte tijd met Venus Pearl DARK (Dr. Lucy Flanaghan).

Bekijkde opgenomen webinar met StyleItaliano

The Pure code: achieving aesthetic excellence with just 4 shades.

Heeft u de webinar met Dr Jordi Manauta gemist? Geen probleem!

Bekijk de webinar opname
Venus Pearl Pure Shades

Venus Pure

Hoe ziet meer eenvoud in uw alledaagse restauraties eruit?

ONTDEK DE VOORDELEN VAN DE NIEUWE VENUS PURE
Be part of the Venus Community

Wilt u ook deel uitmaken van de Venus community?

Deel uw casus
Casussen met Venus Art Shades
Casussen met Venus Art Shades
Before
After

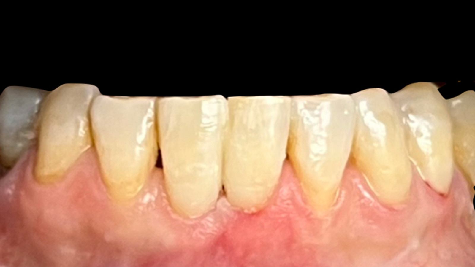
Diasteemsluiting (Venus Diamond B1 & Venus Pearl OLC): resultaat 4 jaar na het opnieuw polijsten (Dr. Mahmoud Ibrahim).

Venus 2.0

Wilt u ook deel uitmaken van de Venus community?

Deel uw verhalen en uw klinische casussen met Venus Pure en Venus Art.

Deel uw casus
Venus Pearl Art Shades

Venus Art ...

... biedt flexibiliteit en veelzijdigheid, zelfs voor de meest veeleisende esthetische uitdagingen

Kies Venus Art