Landen
Contact
Nieuwsbrief
Shop_BE
Shop_NL
Kulzer Benelux

NL

Venus® Bulk Flow ONE
Venus® Bulk Flow ONE

Venus® Bulk Flow ONE

ONE shading meets bulk filling.

Nog één stap...

... om altijd de juiste kleur te kiezen...

Probeer nu!
Venus Bulk Flow One
Venus composites

Venus composieten

Perfecte restauraties voor een perfecte glimlach.

Meer informatie
Venus composites

Op maat gemaakte polishers

Venus supra is perfect te gebruiken met Venus composieten als Venus Diamond ONE en Venus Pearl ONE

Find out more
New Venus packaging

Nieuwe Venus verpakkingen

Moderne make-over van buiten, consistente betrouwbaarheid van binnen.

Meer informatie

Voordelen

Dental Advisor Top Award

ONE SHADE FOR ALL

ONE EFFICIENT HANDLING

ONE RELIABLE SOLUTION

eases x-ray diagnostics

Venus Bulk Flow ONE vereenvoudigt röntgendiagnostiek.

Venus Bulk Flow ONE is suitable to restore occlusal surfaces in posterior teeth

Venus Bulk Flow ONE is geschikt voor het herstellen van occlusale vlakken in het posterieure gebied.

Venus Bulk Flow ONE has low shrinkage stress

Venus Bulk Flow ONE heeft een lage krimpspanning.

Venus Bulk Flow ONE can be used in 4 mm layers

Venus Bulk Flow ONE kan gebruikt worden voor lagen tot 4 mm.

Venus Bulk Flow ONE can be used for the restoration of occlusal surfaces in posterior teeth

Venus Bulk Flow ONE kan worden gebruikt voor het restaureren van occlusale vlakken in het posterieure gebied.

ONE EXPERIENCED SOLUTION

  • Prof. Dr. Ernst, Germany

    Dr. Ernst

    Inlay als probleemoplosser voor occlusieproblemen?

diagnosis

Zeer kleine, recent geplaatste keramische inlays op elementen 14 en 15. Element 15 vertoonde aanhoudende pijn als de patiënt beet en een sterk verhoogde gevoeligheid voor kou. De vermoedelijke diagnose was een afwijking van element 15.

After the removal of the ceramic inlay

Na het verwijderen van de keramische inlay op element 15 was er geen sprake meer van een infractielijn, maar van een zeer diepe caviteit die tot dicht bij de pulpa reikte, zonder enige cariës.

The first layer

De eerste laag in de proximale box en in de uitgebreide occlusale fissuur werd gecreëerd met Venus Bulk Flow ONE in een "klassieke" flow laagdikte van 1-2 mm.

self-adapting colour ONE

Vervolgens werd Venus Pearl in de zelfaanpassende kleur ONE als toplaag gebruikt.

Polished

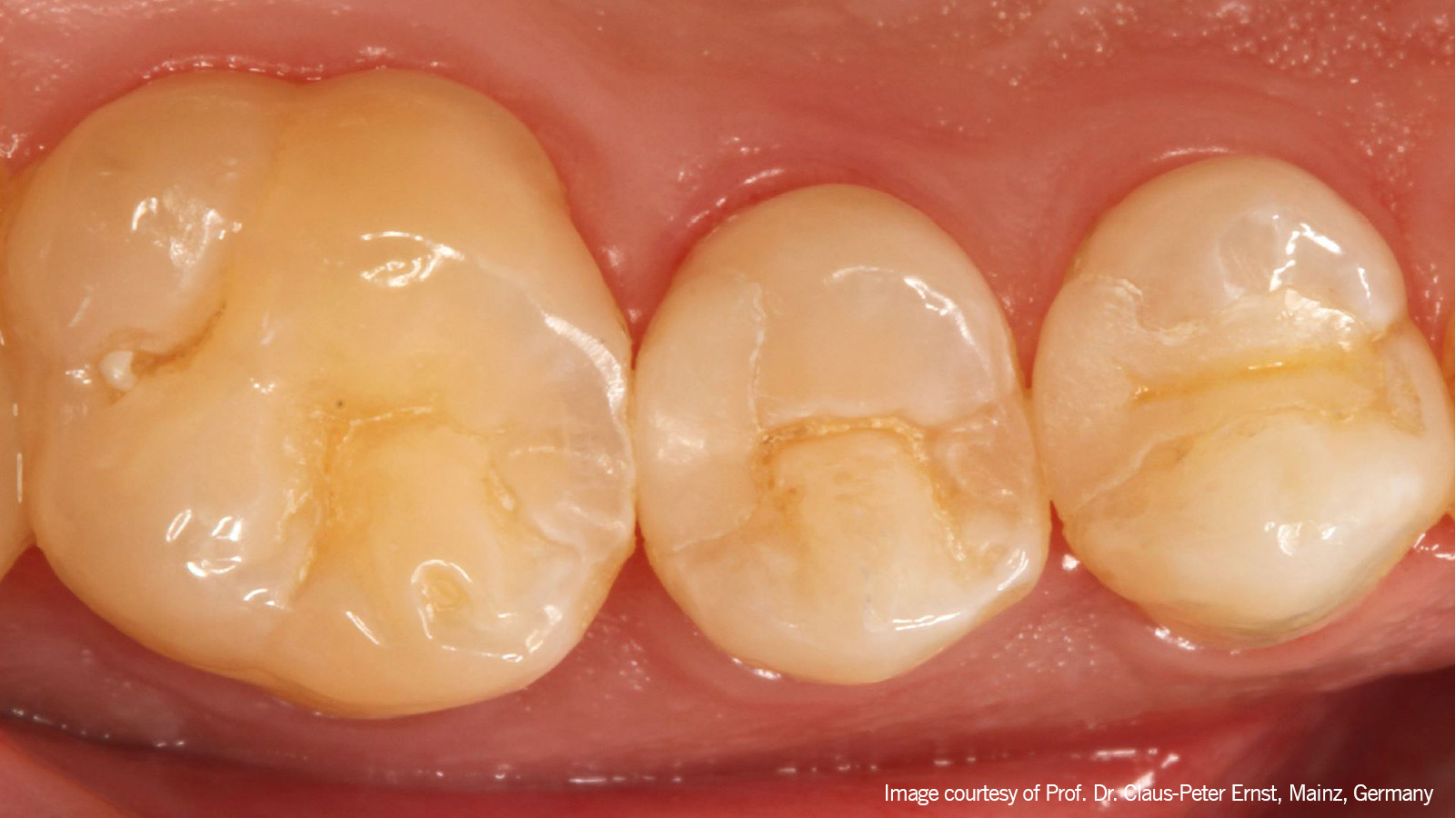
De afgewerkte en gepolijste nieuwe restauratie van element 15 bij een vervolgbezoek na 6 weken. Het ongemak is inmiddels al aanzienlijk verminderd.

  • Dr. Manuel Cueto, Spain

    Dr. Dominik Slusarczy

    Vervanging van een oude amalgaamrestauratie met Venus Pearl ONE en Venus Bulk Flow ONE van Kulzer

amalgam restoratio

Deze eerste kies linksonder (36) heeft al jaren een amalgaamrestauratie, met marginale openingen en haarscheurtjes rondom het vulmateriaal.

removed with burs

Na plaatsing van de rubberdam werd de amalgaamrestauratie verwijderd met boren en waterkoeling. De caviteit vertoont zichtbare secundaire cariës.

disinfected

Vervolgens werd de caviteit gedurende 2 minuten gedesinfecteerd met 20% chloorhexidine.

The cavity margins

De randen van de caviteit werden behandeld met 27 micron aluminiumoxidestralen (Air Abrasion) om vlekken van de vorige restauratie te verwijderen.

Selective enamel etching

Selectief etsen van glazuur werd gedaan met orthofosforzuur.

The tooth rinsed and dried

De tand werd gespoeld en gedroogd zonder het dentine uit te drogen. Een papieren pellet werd in de caviteit geplaatst om droog glazuur te verkrijgen en het dentine een bepaalde mate van vocht vast te houden.

enamel etching technique

Vanwege de diepte van de caviteit werd besloten om Kulzer's iBOND Universal te gebruiken. De selectieve glazuur-etstechniek zorgt voor een goede hechting van dentine en glazuur, zonder het risico van over-etsen van dentine.

A thin layer of Venus Bulk Flow ONE

Een dunne laag Venus Bulk Flow ONE werd als basis in de caviteit geplaatst en met licht uitgehard. Daarna werd Venus Pearl ONE, een monochromatisch, pasteus composiet, stapsgewijs aangebracht om de restauratie op te bouwen.

 buccal triangular ridges was placed

Eerst werd een schuine increment geplaatst om de driehoekige buccale richels te herstellen, die vervolgens met licht werden uitgehard.

 rebuilding the palatal triangular ridges

De laatste increment werd geplaatst en met licht uitgehard, waardoor de driehoekige palatinale richels opnieuw werden opgebouwd.

air-blocking gel 

Een luchtblokkerende gel werd op de afgewerkte restauratie aangebracht en de restauratie werd erdoorheen met licht uitgehard. Op deze manier werd een composietoppervlak zonder inhibitielaag verkregen. Dit maakt het mogelijk om het diepste deel van de gecreëerde groeven uit te harden.

Final image

Eindresultaat na reconstructie met Venus Pearl ONE en polijsten met Venus Supra. Een esthetisch aangename restauratie met universeel composiet werd bereikt.

Downloads

Gebruiksaanwijzingen

Contact

  • Venus® Supra

    Venus® Supra

    Venus Supra pre- en high-gloss polishers zijn gemaakt van siliconen en hooggevuld met microfijn diamantpoeder. Met de 5 verschillende vormen heeft u een universele oplossing voor alle anterieure en posterieure composietrestauraties.

  • Venus® Diamond Flow

    Venus® Diamond Flow

    De vloeibare nanohybride composiet voor esthetiek en perfectie tot in het kleinste detail. Geschikt voor tal van indicaties waaronder klasse V restauraties. De uitstekende radio-opaciteit maakt een betrouwbare diagnose mogelijk.

  • iBOND® Universal

    iBOND® Universal

    iBOND Universal is het universeel, lichtuithardend adhesief voor elke bondingtechniek en alle indicaties. iBOND Universal is compatibel is met alle tandheelkundige materialen en is daarmee dé allrounder voor een betrouwbare hechtsterkte.

  • Nieuw

    Venus® Pearl Pure Shades

    Venus® Pearl Pure Shades

    Een revolutionair assortiment composieten van 4 kleuren die 90% van uw restauratiebehoeften dekt. Ideale composieten voor zowel posterieure als anterieure restauraties. Ze integreren naadloos in uw dagelijkse workflow en bieden eenvoud en perfectie voor de glimlach van de patiënt.